Click here to close
Hello! We notice that you are using Internet Explorer, which is not supported by Xenbase and may cause the site to display incorrectly.
We suggest using a current version of Chrome,
FireFox, or Safari.
???displayArticle.abstract???
ADAMs are membrane-anchored proteases that regulate cell behavior by proteolytically modifying the cell surface and ECM. Like other membrane-anchored proteases, ADAMs contain candidate "adhesive" domains downstream of their metalloprotease domains. The mechanism by which membrane-anchored cell surface proteases utilize these putative adhesive domains to regulate protease function in vivo is not well understood. We address this important question by analyzing the relative contributions of downstream extracellular domains (disintegrin, cysteine rich, and EGF-like repeat) of the ADAM13 metalloprotease during Xenopus laevis development. When expressed in embryos, ADAM13 induces hyperplasia of the cement gland, whereas ADAM10 does not. Using chimeric constructs, we find that the metalloprotease domain of ADAM10 can substitute for that of ADAM13, but that specificity for cement gland expansion requires a downstream extracellular domain of ADAM13. Analysis of finer resolution chimeras indicates an essential role for the cysteine-rich domain and a supporting role for the disintegrin domain. These and other results reveal that the cysteine-rich domain of ADAM13 cooperates intramolecularly with the ADAM13 metalloprotease domain to regulate its function in vivo. Our findings thus provide the first evidence that a downstream extracellular adhesive domain plays an active role in regulating ADAM protease function in vivo. These findings are likely relevant to other membrane-anchored cell surface proteases.
Figure 3. Localization of ADAM13, ADAM10, and XCG mRNA in early Xenopus embryos. (A) In an anterior view at stage 16, ADAM13 (purple, black arrow) mRNA is found in the neural crest and just dorsal to the cement gland anlagen (as marked by XCG mRNA expression in red, arrowhead), but the two transcripts do not overlap. (B) ADAM10 (light purple, open arrow) mRNA is localized to the entire neural plate and placodes, and encompasses the expression field of XCG. No distinct red color revealing XCG mRNA expression is seen because it is overlaid by the light purple ADAM10 costaining. (C) In a schematic of the Xenopus embryo at stage 16, the pink represents the entire neural plate and surrounding placodal and cement gland anlagen that express ADAM10 mRNA (open arrow). The ADAM10-expressing area encompasses both the regions of ADAM13 mRNA expression (blue, black arrow) and XCG (red, arrowhead) (Nieuwkoop and Faber, 1994).
Figure 4. Overexpression of wild-type ADAM13, but not ADAM10, results in hyperplasia of the cement gland. (A) Transcripts encoding ADAM constructs are microinjected into the animal pole of one blastomere at the two-cell stage. The embryos are allowed to recover until stage 22+, and then fixed for whole mount in situ hybridization with the cement gland marker XCG. (B) The increase in XCG mRNA levels caused by ADAM13 overexpression was quantified by RNA spot blot. Data are represented as relative values of expression based on average pixel densities obtained using the PhosphorImager. All levels of expression were within the linear range of this detection method. Data are shown as means ± SD of five independent experiments, each with pooled RNAs from 10 embryos. By stage 17, a twofold increase in XCG mRNA levels (P < 0.05) was found in embryos expressing ADAM13, but not E/A ADAM13 or ADAM10. The differences in XCG mRNA levels quantified by RNA spot blot were also observed by whole mount in situ hybridization. (C) GFP-injected embryos had no alterations in the cement gland marker XCG (black arrow), whereas large, ectopic islands of XCG-positive cells (D, arrow) were found when overexpressing ADAM13. Expression of the E/A ADAM13 mutant (E) or ADAM10 (F) had no affect on cement gland formation. NI, noninjected control; E/A13, E/A ADAM13.
Figure 7. Summary of ADAM10/13 construct expression in embryos. The molecular weights in kD were calculated by MacVector software and include the addition of the six myc tags and predicted N-linked glycosylations. After in situ hybridization with XCG, embryos were scored for mild or severe cement gland perturbations. The embryos with mild phenotypes were subdivided into two classes, in some cases (shown with a back slash), defined as one to three small spots of ectopic XCG expression or three to four small spots accompanied by <10% expansion of the area of the main cement gland. Severe phenotypes had numerous large islands of ectopic cement gland or substantial expansions (>10%) of the existing cement gland. Up arrows indicate the ability of a construct to induce severe cement gland hyperplasia (corresponding to arrows in Fig. 5). Constructs with high levels of cell surface expression in the met form (as compared with ADAM13) have two pluses (++) and embryos with lower levels of met forms are given one plus (+). N, the number of embryos assayed. aLow cell surface expression, but robust activity. *Previously we reported separate experiments involving the coexpression of equal amounts of transcript (0.5 ng each) encoding wild-type and E/A ADAM13, which led to a marked reduction (62%) in cement gland hyperplasia. We conclude that E/A ADAM13 can function as a dominant-negative inhibitor of wild-type ADAM13 in the cement gland assay; the details are reported in Alfandari et al. (2001).
Figure 8. Anterior views of representative stage-22 Xenopus embryos showing XCG mRNA expression. (A) Embryos injected with GFP alone have no alterations in XCG expression. (B) Like ADAM13, the 10PM/13 chimeric construct causes a large expansion in XCG. The 10/13DCE (C) and 10/13DC (D) chimeras also perturb the cement gland. (E) An E/A point mutant in the catalytically active site of the 10/13DC chimera ablates its ability to cause hyperplasia of the cement gland. (F) Replacing ADAM13's disintegrin and cysteine-rich domains (chimera 13/10DC) did not fully ablate the XCG expansion, but it did lessen its severity. Replacing the disintegrin domain of ADAM13 with that of ADAM10 (chimera 13/10D) did not alter the function (G), whereas replacing only ADAM10's cysteine-rich domain with that of ADAM13 (10/13C) was sufficient to give that chimera the ability to cause alterations in XCG (H). Swapping ADAM13's cysteine-rich domain caused both a quantitative (6% severe phenotype vs. 33% for wild-type ADAM13; Fig. 7) and qualitative (I) decrease in activity. (J) Three point mutations in the disintegrin loop of ADAM13 diminish its ability to cause the enlargement of the cement gland, but do not affect its ability to cause its own degradation in vitro (unpublished data).
Figure 1. Schematic representation of cell surface proteases. Each is anchored in the membrane with a transmembrane domain or GPI linker. MT-MMPs and ectopeptidases come in both types, whereas meprins and ADAMs both possess transmembrane domains and cytoplasmic tails of varying sizes. Some ADAMs have SH3 ligand domains within their cytoplasmic tails. The cytoplasmic tails of meprin β subunits have a PKC phosphorylation site.
Figure 2. Sequence comparison of X-ADAM10 and X-ADAM13. Amino acid sequence alignments of full-length ADAM10 (GenBank/EMBL/DDBJ accession no. AF508151) and ADAM13 (accession no. U66003) with domain boundaries in black. The putative signal sequences are shown with an arrowhead. The cysteine-switch cysteine is indicated by a star (★) and all potential N-linked glycosylation sites in ADAM10 are denoted with an open arrow (⇓). The metalloprotease active site is underlined by a solid black line, the disintegrin loop is underlined by a broken line, and the transmembrane (TM) domain is underlined with a wavy line. All putative SH3 binding sites in the cytoplasmic tails of ADAMs 10 and 13 are boxed. Mutated amino acids in the zinc binding site (ADAM13 E341 to A; ADAM10 E385 to A) and the disintegrin loop (ADAM10 S529 to A and D530 to A; ADAM13 G474 to A, S475 to A, and D477 to A) are highlighted in bold.
Figure 5. Schematic representation of ADAM10 and -13 constructs. Domains between ADAM10 (white) and ADAM13 (black) were switched as units (Pro/Met and DC ± E) or as individual domains (D and C). Chimeras containing metalloprotease domains with the catalytically inactive E/A point mutation were made. Mutations were also made in the disintegrin loops of both ADAM10 and -13. All constructs have been myc tagged. Mutated domains are denoted by an X. ADAM constructs that cause severe hyperplasia of the cement gland when ectopically expressed are designated by an up arrow. Blank boxes in this chart indicate that the construct had no significant affect on the cement gland. Set A consists of the wild-type and E/A point mutant constructs of ADAM10 and -13. Chimeras are grouped into Set B, for pro and met domain swaps, and Set C, for disintegrin and cysteine-rich domain swaps. Set D groups the disintegrin loop alanine point mutations.
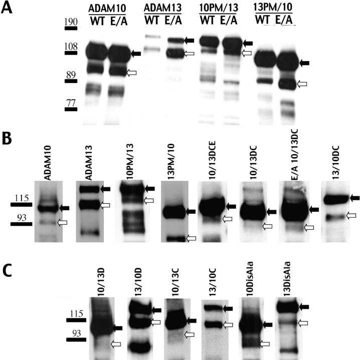
Figure 6. All ADAM constructs are proteolytically processed and found on the cell surface. (A) In whole embryo lysate Western blots with the anti–myc tag antibody, 9E10, both wild type and E/A mutants of ADAM10, ADAM13, and the Pro/Met chimeras are all found in unprocessed precursor forms with the pro-domain (black arrow) and in metalloprotease active forms, with the functionally repressive pro-domain removed (open arrows). (B and C) By affinity purification of cell surface biotin-labeled proteins and Western blotting with 9E10, the pro forms (black arrows) and metalloprotease forms (met forms, open arrows) of all ADAM constructs are seen. The pro and met forms generally run as expected based on calculated molecular weights with the addition of the myc tag.
Alfandari,
Xenopus ADAM 13 is a metalloprotease required for cranial neural crest-cell migration.
2001, Pubmed,
Xenbase
Alfandari,
Xenopus ADAM 13 is a metalloprotease required for cranial neural crest-cell migration.
2001,
Pubmed
,
Xenbase
Alfandari,
Integrin alpha v subunit is expressed on mesodermal cell surfaces during amphibian gastrulation.
1995,
Pubmed
,
Xenbase
Alfandari,
ADAM 13: a novel ADAM expressed in somitic mesoderm and neural crest cells during Xenopus laevis development.
1997,
Pubmed
,
Xenbase
Amour,
The in vitro activity of ADAM-10 is inhibited by TIMP-1 and TIMP-3.
2000,
Pubmed
Baragi,
Contribution of the C-terminal domain of metalloproteinases to binding by tissue inhibitor of metalloproteinases. C-terminal truncated stromelysin and matrilysin exhibit equally compromised binding affinities as compared to full-length stromelysin.
1994,
Pubmed
Bauvois,
Transmembrane proteases in focus: diversity and redundancy?
2001,
Pubmed
Bigler,
Sequence-specific interaction between the disintegrin domain of mouse ADAM 2 (fertilin beta) and murine eggs. Role of the alpha(6) integrin subunit.
2000,
Pubmed
Blobel,
Remarkable roles of proteolysis on and beyond the cell surface.
2000,
Pubmed
Bridges,
The lymphocyte metalloprotease MDC-L (ADAM 28) is a ligand for the integrin alpha4beta1.
2002,
Pubmed
Chomczynski,
Single-step method of RNA isolation by acid guanidinium thiocyanate-phenol-chloroform extraction.
1987,
Pubmed
Cousin,
PACSIN2 is a regulator of the metalloprotease/disintegrin ADAM13.
2000,
Pubmed
,
Xenbase
Dale,
A gradient of BMP activity specifies dorsal-ventral fates in early Xenopus embryos.
1999,
Pubmed
,
Xenbase
Dale,
BMP signalling in early Xenopus development.
1999,
Pubmed
,
Xenbase
De Meester,
CD26, let it cut or cut it down.
1999,
Pubmed
Eto,
Functional classification of ADAMs based on a conserved motif for binding to integrin alpha 9beta 1: implications for sperm-egg binding and other cell interactions.
2002,
Pubmed
Evans,
Fertilin beta and other ADAMs as integrin ligands: insights into cell adhesion and fertilization.
2001,
Pubmed
Fambrough,
The cell surface metalloprotease/disintegrin Kuzbanian is required for axonal extension in Drosophila.
1996,
Pubmed
Gammill,
Identification of otx2 target genes and restrictions in ectodermal competence during Xenopus cement gland formation.
1997,
Pubmed
,
Xenbase
Gammill,
Coincidence of otx2 and BMP4 signaling correlates with Xenopus cement gland formation.
2000,
Pubmed
,
Xenbase
Gaultier,
ADAM13 disintegrin and cysteine-rich domains bind to the second heparin-binding domain of fibronectin.
2002,
Pubmed
,
Xenbase
Harland,
In situ hybridization: an improved whole-mount method for Xenopus embryos.
1991,
Pubmed
,
Xenbase
Howard,
Interaction of the metalloprotease disintegrins MDC9 and MDC15 with two SH3 domain-containing proteins, endophilin I and SH3PX1.
1999,
Pubmed
Iba,
The cysteine-rich domain of human ADAM 12 supports cell adhesion through syndecans and triggers signaling events that lead to beta1 integrin-dependent cell spreading.
2000,
Pubmed
Ilan,
New paradigms of signaling in the vasculature: ephrins and metalloproteases.
1999,
Pubmed
Johnston,
Autoradiography using storage phosphor technology.
1990,
Pubmed
Kang,
Direct interaction between the cytoplasmic tail of ADAM 12 and the Src homology 3 domain of p85alpha activates phosphatidylinositol 3-kinase in C2C12 cells.
2001,
Pubmed
Kheradmand,
Shedding light on sheddases: role in growth and development.
2002,
Pubmed
Kintner,
Expression of Xenopus N-CAM RNA in ectoderm is an early response to neural induction.
1987,
Pubmed
,
Xenbase
Lee,
The C-terminal domains of TACE weaken the inhibitory action of N-TIMP-3.
2002,
Pubmed
Lieber,
kuzbanian-mediated cleavage of Drosophila Notch.
2002,
Pubmed
Millichip,
The metallo-disintegrin ADAM10 (MADM) from bovine kidney has type IV collagenase activity in vitro.
1998,
Pubmed
Moss,
TACE and other ADAM proteases as targets for drug discovery.
2001,
Pubmed
Murphy,
The C-terminal domain of 72 kDa gelatinase A is not required for catalysis, but is essential for membrane activation and modulates interactions with tissue inhibitors of metalloproteinases.
1992,
Pubmed
Newport,
A major developmental transition in early Xenopus embryos: I. characterization and timing of cellular changes at the midblastula stage.
1982,
Pubmed
,
Xenbase
Overall,
Molecular determinants of metalloproteinase substrate specificity: matrix metalloproteinase substrate binding domains, modules, and exosites.
2002,
Pubmed
Pan,
Kuzbanian controls proteolytic processing of Notch and mediates lateral inhibition during Drosophila and vertebrate neurogenesis.
1997,
Pubmed
,
Xenbase
Primakoff,
The ADAM gene family: surface proteins with adhesion and protease activity.
2000,
Pubmed
Reddy,
Functional analysis of the domain structure of tumor necrosis factor-alpha converting enzyme.
2000,
Pubmed
Schimmelpfeng,
The function of leak and kuzbanian during growth cone and cell migration.
2001,
Pubmed
Schwettmann,
Cloning and expression in Pichia pastoris of metalloprotease domain of ADAM 9 catalytically active against fibronectin.
2001,
Pubmed
Seiki,
Membrane-type matrix metalloproteinases.
1999,
Pubmed
Sive,
A sticky problem: the Xenopus cement gland as a paradigm for anteroposterior patterning.
1996,
Pubmed
,
Xenbase
Stöcker,
Structural features of a superfamily of zinc-endopeptidases: the metzincins.
1995,
Pubmed
Takahashi,
Sequence-specific interaction between the disintegrin domain of mouse ADAM 3 and murine eggs: role of beta1 integrin-associated proteins CD9, CD81, and CD98.
2001,
Pubmed
Zhang,
Specific interaction of the recombinant disintegrin-like domain of MDC-15 (metargidin, ADAM-15) with integrin alphavbeta3.
1998,
Pubmed
Zhu,
Identification of key functional amino acids of the mouse fertilin beta (ADAM2) disintegrin loop for cell-cell adhesion during fertilization.
2000,
Pubmed