|
Figure 1- Xenopus laevis , right kidney. Vascular cast. Transverse section displaying areas 1â8 where 3Dâmorphometric measurements were taken. da, dorsal aorta; pcv, posterior caval vein; rpv, renal portal vein
|
|
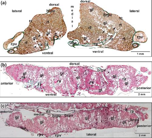
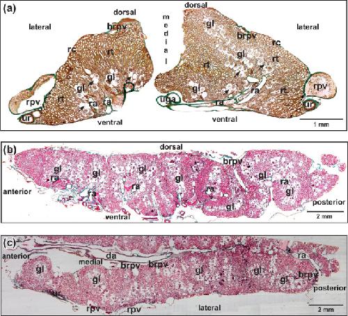
Figure 2- Xenopus laevis , histomorphology of kidneys of adult individual. Overview. Goldner staining. (a) Transverse section (thickness: 7 μm). Note the difference in size between right and left kidneys. Glomeruli of rather equal size are located from ventral to midâdorsal regions and are grouped in nests and rows (arrows). (b) Longitudinal section. Note that in posterior regions glomeruli are located close to the dorsal surface. (c) Horizontal section. Note that glomeruli are aligned from medial to lateral edges. Abbreviations: brpv, branch of renal portal vein; da, dorsal aorta; gl, glomerulus; ra, renal artery; rc, renal capsule; rpv, renal portal vein; rt, renal tubule; uga, urogenital artery; ur, ureter
|
|
Figure 3- Xenopus laevis , histomorphology and microanatomy of renal blood vessels. (a) Transverse section of kidney. Ventral is at bottom. Renal artery with ascending branch (ra1) which bends over into a horizontal course (ra2). Note the narrow spacing of afferent (glomerular) arterioles (arrows). (b) Afferent arteriole branching off a renal artery. Note the vascular sphincter at the origin of the afferent arteriole (arrows). Note also a ciliated peritoneal funnel aside the adventitia of a renal artery opening into a peritubular vessel (arrowhead). (c) Course and branching patterns of urogenital and renal arteries. Ventral view at an insufficiently cast right kidney. VCC. Scanning electron microscopy (SEM) micrograph. Rostral is at the left, lateral is at the bottom. Note the lack of any regular patterning of renal arteries. (d) Origin of urogenital arteries from the ventral aspect of the dorsal aorta. VCC. SEM micrograph. Arrow marks the origin of the celiacâmesenteric artery. Inset 1: Closer view at the origin of three urogenital arteries from the dorsal aorta. Inset 2: Closer view at the origin of a genital artery from a urogenital artery. Note the triangular profile of the genital artery and the imprint of a flow divider on the vascular cast (arrow). Abbreviations: aa, afferent arteriole; Bc, Bowman's capsule; cma, celiacâmesenteric artery; da, dorsal aorta; ga, genital artery; lda, left dorsal aorta; pcv, posterior caval vein; pf, peritoneal funnel; ra, renal artery; rda, right dorsal aorta; rpv, renal portal vein; uga, urogenital artery; VCC, vascular corrosion cast
|
|
Figure 4- Xenopus laevis , microvascular anatomy of the kidneys of adult individual. VCCs. Scanning electron microscopy (SEM) micrographs. (a) Transverse section. Note a urogenital artery descending between kidneys and bifurcating toward right and left kidney. Inset 1: Spatial relationship between urogenital artery and a branch of the renal portal vein. Inset 2: Same, but between urogenital artery and renal veins. (b) Venous drainage of the kidneys. Ventral view. Note numerous renal veins draining into the posterior caval vein. Dashed line marks level of section displayed in Figure 5b. rpv, renal portal vein. (c) Renal artery with numerous afferent arterioles. Note that afferent arterioles primarily branch off as single individual vessels which feed nearby glomeruli or originate with a common stem to bifurcate after a short distance into single afferent arterioles. Inset: Intraparenchymal portion of renal arteries. Note that afferent arterioles arise as triplets (arrowhead) or even quadruplets (arrow) from the parent artery. Abbreviations: aa, afferent arteriole; brpv, branch of renal portal vein; da, dorsal aorta, gl, glomerulus; pcv, posterior caval vein, ptv, peritubular vessel, ra, renal artery; rpv, renal portal vein; rv, renal vein; VCC, vascular corrosion cast; uga; urogenital artery
|
|
Figure 5- Xenopus laevis , microvascular anatomy of the kidneys of adult individual. VCCs. Scanning electron microscopy (SEM) micrographs. (a) Afferent arterioles with pearlâstringâlike appearance (small white arrows). Note circular imprints of vascular smooth muscle cells around renal arteries (black arrows). (b) Drainage of peritubular vessels into renal venules and renal veins. Transverse sectioned vascular corrosion cast. Note renal vein (arrow) which forms deep inside the kidney. (c) Afferent arterioles which continuously branch off a renal arteriole to supply more distal glomeruli. (d) Treeâlike branching pattern of a renal arteriole into many afferent arterioles. Note that efferent arterioles empty into peritubular vessels (arrows). (e) Glomerulus with afferent and efferent arteriole. Laterodorsal view at the vascular pole. The caliber of the afferent arteriole is larger than that of the efferent arteriole. Note that the efferent arteriole departs at about the same level as the afferent arteriole arrives. Glomerular capillaries anastomose frequently. (f) Glomerulus of an insufficiently cast kidney. Laterodorsal view at the vascular pole. Note the difference in the calibers of afferent arteriole and efferent arteriole. The efferent arteriole arises from deeper within the glomerulus. Abbreviations: aa, afferent arteriole; brpv, branches of the renal portal vein; da, ea, efferent arteriole; dorsal aorta; gc, glomerular capillary; gl, glomerulus; ptv, peritubular vessel; ra, renal artery; raa, renal arteriole; rpv, renal portal vein; rv, renal vein; rvv, renal venule; VCC, vascular corrosion cast
|
|
Figure 6- Xenopus laevis , microvascular anatomy of the kidneys of adult individual. Dorsal views. VCCs. Scanning electron microscopy (SEM) micrographs. Rostral is to the left. (a) The prominent renal portal veins course along the lateral margins of the kidneys toward rostral thereby giving off primarily rostromedially directed firstâorder branches (brpv). Arrow points at an anastomosis between esophageal vein and renal portal vein. Asterisks mark conductive bridges. (b) Microvascular pattern of the dorsal surface of the kidneys. Note few and rather small firstâorder branches (brpv) of the renal portal vein. Large arrow points at an anastomosis between esophageal vein and renal portal vein Small arrows indicate rather superficially located glomeruli. (c) Branching pattern of firstâorder branches (brpv; 1) of the renal portal vein. Note up to four more branching orders (secondâfifth) until capillary calibers are gained midway between consecutive firstâorder branches (dashed line). (d) Firstâorder branches of the renal portal vein (brpv; 1) with rather uniform calibers. Note an anastomosis (arrow) which interconnects ipsilateral firstâorder branches of the renal portal vein (brpv 1). Abbreviations: brpv, branch of renal portal vein; da, dorsal aorta; esv, esophageal vein; lda, left dorsal aorta; rda, right dorsal aorta; rpv, renal portal vein; te, testis; VCC, vascular corrosion cast
|
|
Figure 7- Xenopus laevis , microvascular anatomy of the kidneys of adult individual. VCCs. Scanning electron microscopy (SEM) micrographs. (a) Firstâorder branch of the renal portal vein displaying endothelial cell nuclei imprints characteristic of an artery (arrows). Note different calibers of side branches (1â3). (b) Endothelial cell nuclei imprints on a firstâorder branch of the renal portal vein Note the longish imprints (arrows) orientated parallel to the long axis of the vessel characteristic of an artery. (c) Transition of fourthâ or fifthâorder branches of the renal portal vein into peritubular vessels. (d) Transition of peritubular vessels into renal venules and renal veins. Abbreviations: aa, afferent arteriole; brpv,(firstâorder) branch of renal portal vein; da, dorsal aorta; gl, glomerulus; ptv, peritubular vessel; ra, renal artery; rv, renal vein; rvv, renal venule; VCC, vascular corrosion cast
|
|
Figure 8- Xenopus laevis , microvascular anatomy of the kidneys of adult individual. VCC. Scanning electron microscopy (SEM) micrograph. Formation of the posterior caval vein by renal veins at the ventral surface of the kidneys. Abbreviations: pcv, posterior caval vein; ra, renal artery; rpv, renal portal vein; rv, renal vein; VCC, vascular corrosion cast
|
|
FIGURE 1.
Xenopus laevis, right kidney. Vascular cast. Transverse section displaying areas 1â8 where 3Dâmorphometric measurements were taken. da, dorsal aorta; pcv, posterior caval vein; rpv, renal portal vein
|
|
FIGURE 2.
Xenopus laevis, histomorphology of kidneys of adult individual. Overview. Goldner staining. (a) Transverse section (thickness: 7 μm). Note the difference in size between right and left kidneys. Glomeruli of rather equal size are located from ventral to midâdorsal regions and are grouped in nests and rows (arrows). (b) Longitudinal section. Note that in posterior regions glomeruli are located close to the dorsal surface. (c) Horizontal section. Note that glomeruli are aligned from medial to lateral edges. Abbreviations: brpv, branch of renal portal vein; da, dorsal aorta; gl, glomerulus; ra, renal artery; rc, renal capsule; rpv, renal portal vein; rt, renal tubule; uga, urogenital artery; ur, ureter
|
|
FIGURE 3.
Xenopus laevis, histomorphology and microanatomy of renal blood vessels. (a) Transverse section of kidney. Ventral is at bottom. Renal artery with ascending branch (ra1) which bends over into a horizontal course (ra2). Note the narrow spacing of afferent (glomerular) arterioles (arrows). (b) Afferent arteriole branching off a renal artery. Note the vascular sphincter at the origin of the afferent arteriole (arrows). Note also a ciliated peritoneal funnel aside the adventitia of a renal artery opening into a peritubular vessel (arrowhead). (c) Course and branching patterns of urogenital and renal arteries. Ventral view at an insufficiently cast right kidney. VCC. Scanning electron microscopy (SEM) micrograph. Rostral is at the left, lateral is at the bottom. Note the lack of any regular patterning of renal arteries. (d) Origin of urogenital arteries from the ventral aspect of the dorsal aorta. VCC. SEM micrograph. Arrow marks the origin of the celiacâmesenteric artery. Inset 1: Closer view at the origin of three urogenital arteries from the dorsal aorta. Inset 2: Closer view at the origin of a genital artery from a urogenital artery. Note the triangular profile of the genital artery and the imprint of a flow divider on the vascular cast (arrow). Abbreviations: aa, afferent arteriole; Bc, Bowman's capsule; cma, celiacâmesenteric artery; da, dorsal aorta; ga, genital artery; lda, left dorsal aorta; pcv, posterior caval vein; pf, peritoneal funnel; ra, renal artery; rda, right dorsal aorta; rpv, renal portal vein; uga, urogenital artery; VCC, vascular corrosion cast
|
|
FIGURE 4.
Xenopus laevis, microvascular anatomy of the kidneys of adult individual. VCCs. Scanning electron microscopy (SEM) micrographs. (a) Transverse section. Note a urogenital artery descending between kidneys and bifurcating toward right and left kidney. Inset 1: Spatial relationship between urogenital artery and a branch of the renal portal vein. Inset 2: Same, but between urogenital artery and renal veins. (b) Venous drainage of the kidneys. Ventral view. Note numerous renal veins draining into the posterior caval vein. Dashed line marks level of section displayed in Figure 5b. rpv, renal portal vein. (c) Renal artery with numerous afferent arterioles. Note that afferent arterioles primarily branch off as single individual vessels which feed nearby glomeruli or originate with a common stem to bifurcate after a short distance into single afferent arterioles. Inset: Intraparenchymal portion of renal arteries. Note that afferent arterioles arise as triplets (arrowhead) or even quadruplets (arrow) from the parent artery. Abbreviations: aa, afferent arteriole; brpv, branch of renal portal vein; da, dorsal aorta, gl, glomerulus; pcv, posterior caval vein, ptv, peritubular vessel, ra, renal artery; rpv, renal portal vein; rv, renal vein; VCC, vascular corrosion cast; uga; urogenital artery
|
|
FIGURE 5.
Xenopus laevis, microvascular anatomy of the kidneys of adult individual. VCCs. Scanning electron microscopy (SEM) micrographs. (a) Afferent arterioles with pearlâstringâlike appearance (small white arrows). Note circular imprints of vascular smooth muscle cells around renal arteries (black arrows). (b) Drainage of peritubular vessels into renal venules and renal veins. Transverse sectioned vascular corrosion cast. Note renal vein (arrow) which forms deep inside the kidney. (c) Afferent arterioles which continuously branch off a renal arteriole to supply more distal glomeruli. (d) Treeâlike branching pattern of a renal arteriole into many afferent arterioles. Note that efferent arterioles empty into peritubular vessels (arrows). (e) Glomerulus with afferent and efferent arteriole. Laterodorsal view at the vascular pole. The caliber of the afferent arteriole is larger than that of the efferent arteriole. Note that the efferent arteriole departs at about the same level as the afferent arteriole arrives. Glomerular capillaries anastomose frequently. (f) Glomerulus of an insufficiently cast kidney. Laterodorsal view at the vascular pole. Note the difference in the calibers of afferent arteriole and efferent arteriole. The efferent arteriole arises from deeper within the glomerulus. Abbreviations: aa, afferent arteriole; brpv, branches of the renal portal vein; da, ea, efferent arteriole; dorsal aorta; gc, glomerular capillary; gl, glomerulus; ptv, peritubular vessel; ra, renal artery; raa, renal arteriole; rpv, renal portal vein; rv, renal vein; rvv, renal venule; VCC, vascular corrosion cast
|
|
FIGURE 6.
Xenopus laevis, microvascular anatomy of the kidneys of adult individual. Dorsal views. VCCs. Scanning electron microscopy (SEM) micrographs. Rostral is to the left. (a) The prominent renal portal veins course along the lateral margins of the kidneys toward rostral thereby giving off primarily rostromedially directed firstâorder branches (brpv). Arrow points at an anastomosis between esophageal vein and renal portal vein. Asterisks mark conductive bridges. (b) Microvascular pattern of the dorsal surface of the kidneys. Note few and rather small firstâorder branches (brpv) of the renal portal vein. Large arrow points at an anastomosis between esophageal vein and renal portal vein Small arrows indicate rather superficially located glomeruli. (c) Branching pattern of firstâorder branches (brpv; 1) of the renal portal vein. Note up to four more branching orders (secondâfifth) until capillary calibers are gained midway between consecutive firstâorder branches (dashed line). (d) Firstâorder branches of the renal portal vein (brpv; 1) with rather uniform calibers. Note an anastomosis (arrow) which interconnects ipsilateral firstâorder branches of the renal portal vein (brpv 1). Abbreviations: brpv, branch of renal portal vein; da, dorsal aorta; esv, esophageal vein; lda, left dorsal aorta; rda, right dorsal aorta; rpv, renal portal vein; te, testis; VCC, vascular corrosion cast
|
|
FIGURE 7.
Xenopus laevis, microvascular anatomy of the kidneys of adult individual. VCCs. Scanning electron microscopy (SEM) micrographs. (a) Firstâorder branch of the renal portal vein displaying endothelial cell nuclei imprints characteristic of an artery (arrows). Note different calibers of side branches (1â3). (b) Endothelial cell nuclei imprints on a firstâorder branch of the renal portal vein Note the longish imprints (arrows) orientated parallel to the long axis of the vessel characteristic of an artery. (c) Transition of fourthâ or fifthâorder branches of the renal portal vein into peritubular vessels. (d) Transition of peritubular vessels into renal venules and renal veins. Abbreviations: aa, afferent arteriole; brpv,(firstâorder) branch of renal portal vein; da, dorsal aorta; gl, glomerulus; ptv, peritubular vessel; ra, renal artery; rv, renal vein; rvv, renal venule; VCC, vascular corrosion cast
|
|
FIGURE 8.
Xenopus laevis, microvascular anatomy of the kidneys of adult individual. VCC. Scanning electron microscopy (SEM) micrograph. Formation of the posterior caval vein by renal veins at the ventral surface of the kidneys. Abbreviations: pcv, posterior caval vein; ra, renal artery; rpv, renal portal vein; rv, renal vein; VCC, vascular corrosion cast
|