Click here to close
Hello! We notice that you are using Internet Explorer, which is not supported by Xenbase and may cause the site to display incorrectly.
We suggest using a current version of Chrome,
FireFox, or Safari.
Dev Dyn
2019 Oct 01;24810:969-978. doi: 10.1002/dvdy.98.
Show Gene links
Show Anatomy links
Overexpression of Lin28a delays Xenopus metamorphosis and down-regulates albumin independently of its translational regulation domain.
Gundermann DG
,
Martínez J
,
De Kervor G
,
González-Pinto K
,
Larraín J
,
Faunes F
.
???displayArticle.abstract???
BACKGROUND: Lin28 regulates stem cell biology and developmental timing. At the molecular level Lin28 inhibits the biogenesis of the micro RNA let-7 and directly controls the transcription and translation of several genes. In Xenopus, Lin28 overexpression delays metamorphosis and affects the expression of genes of the thyroid hormone (TH) axis. The TH carrier albumin, synthesized by the liver, is down-regulated in limbs and tail after Lin28 overexpression. The molecular mechanisms underlying the interaction between Lin28, let-7, and the hypothalamus-pituitary-thyroid gland (HPT) axis are unknown.
RESULTS: We found that precursor and mature forms of let-7 increase during Xenopus metamorphosis. In the liver, lin28b is down-regulated and albumin is up-regulated during metamorphosis. Overexpression of a truncated form of Lin28a (Lin28aΔC), which has been shown not to interact with RNA helicase A to regulate translation, delays metamorphosis, indicating that the translational regulation domain is not required to inhibit the HPT axis. Importantly, both full length Lin28a and Lin28aΔC block the increase of albumin mRNA in the liver independently of changes in TH signaling.
CONCLUSIONS: These results suggest that Lin28 delays metamorphosis through regulation of let-7 and that the decrease of the TH carrier albumin is one of the early changes after Lin28 overexpression.
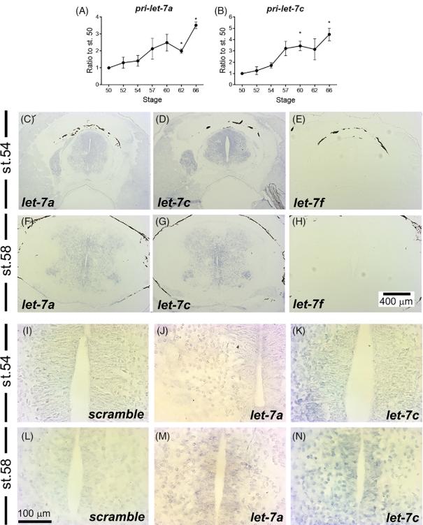
Figure 1
Priâlet7 and letâ7 increase during metamorphosis in the central nervous system. RTâqPCR for priâlet7a (A), priâlet7c (B) in brain RNA samples. Expression was normalized to eef1α and compared to st.50 (yâaxis; averageâ±âSEM, n = 3 independent experiments). *Pâ<â.05, tâtest against hypothetical value = 1 (no change compared to st.50). Tadpoles were fixed at stage 54 (CâE, IâK) and 58 (FâH, LâN) and in situ hybridization was performed in transversal sections of spinal cord. Specific locked nucleic acid (LNA) probes for letâ7a (C, F, J, M), letâ7c (D, G, K, N), and letâ7f (E, H) were used. Scramble LNA probe was used as a control (I, L)
Figure 2
lin28b is downâregulated in the liver during metamorphosis. Liver samples were isolated at different NieuwkoopâFaber (NF) stages (xâaxis) and analyzed by RTâqPCR for lin28b (A), thrβA (B), albumin (albâb; C), transthyretin (ttr; D), priâlet7a (E), priâlet7c (F), and mature letâ7a (G; averageâ±âSEM, n = 3â4 independent experiments). For lin28b, ttr, priâletâ7a, and priâletâ7c expression was normalized to eef1α and compared to st.50 (yâaxis). *Pâ<â.05; **Pâ<â.01; tâtest against hypothetical value = 1 (no change compared to st.50). For thrβA and albâb expression was normalized to eef1α. *Pâ<â.05; **Pâ<â.01; ***Pâ<â.001, ANOVA with Dunnett's multiple comparisons tests to stage 50. For letâ7a, expression was normalized to 5S rRNA. *Pâ<â.05; ***Pâ<â.001; ANOVA with Dunnett's multiple comparisons tests to stage 50
Figure 3
Overexpression of Lin28ÎC. A, Protein sequences of Lin28a and Lin28aÎCâflag highlighting the cold shock domain in green, the zincâknuckle domains in blue, the Câterminal domain in brown and the flag epitope in red. B, Western blot with the antiâflag epitope in tail samples of nontransgenic (â) and Lin28ÎC transgenic animals heatâshocked for 3âweeks (three times per week). The specific band of Lin28ÎCâflag is observed under 25âkDa. Nonspecific bands were detected above 75âkDa (asterisks) and were considered as loading control
Figure 4
Câterminal domain of Lin28a is not required to delay metamorphosis. A, Metamorphosis progress (stages, yâaxis) of F1 nontransgenic siblings (control, green line) and transgenic animals (lin28a+) with HS from day 0 to day 18 (red bar) starting at st.50 (days, xâaxis). ***Pâ<â.001, unpaired tâtest for days 26, 28, 33, and 41. No significant differences were detected for days 11 and 19. B, Metamorphosis progress (stages, yâaxis) of F1 nontransgenic siblings (control, green line) and transgenic animals (lin28a+, blue line) with HS from day 0 to day 11 (red bar, 2âweeks) starting at st.57 (days, xâaxis). No significant differences were detected for days 9, 11, and 16
Figure 5
Overexpression of Lin28a or Lin28aÎC blocks the increase of albumin RNA in the liver. F1 nontransgenic siblings (control, green line) and transgenic animals (lin28a+, blue line) were heat shocked from day 0 to day 18 (three times per week for 3âweeks) starting at st.50. RNA was isolated at days 0, 9, and 18 and RTâqPCR was performed for lin28a (A), thrβa (B), and albâb (C). The same experimental scheme was used to overexpress Lin28aÎC (lin28aÎC+, blue line) and compared the gene expression to control animals (control, green line) for lin28a (D), thrβA (E), and albâb (F). Expression was normalized to eef1α and compared to day 0 (yâaxis; averageâ±âSEM, n = 3 independent experiments). *Pâ<â.05, twoâway ANOVA plus Sidak's multiple comparisons test