|
Fig 2. Chk1 depletion increases DNA synthesis in the presence of aphidicolin.(a) Egg extracts were mock- or Chk1-depleted and aliquots analyzed by western blotting using an anti-XChk1 antibody, (b) Sperm nuclei were incubated for 150 min in mock-depleted, Chk1-depleted egg extracts, Chk1-depleted egg extracts supplemented with recombinant 40 nM XChk1 in the presence of [α-32P]-dATP with or without aphidicolin (5 μg/ml). Nascent DNA strands synthesized after 150 min were analyzed by alkaline gel electrophoresis, (c) Mean replication in mock depleted, Chk1 depleted, Chk1 depleted + Chk1 add back extracts of two independent experiments with SEM (t-tests: mock versus Chk1 depletion: P = 0.026, Chk1 depletion versus add back: P = 0.037), * significantly different (P < 0.05).
|
|
Fig 3. Fork density increases after Chk1 inhibition in the presence of aphidicolin induced stalled forks.Sperm nuclei (2000 nuclei/μl) were replicated in egg extracts in the presence of Biotin-dUTP, aphidicolin (7.5μg/ml) and in the presence (1μM) or absence of UCN-01 for 90 min. (a) Three representative combed DNA fibers replicated in the absence (above) or the presence of UCN-01 (below) (merge: green, whole DNA label; red, biotin labeled replication eyes), (b) Mean replication extent of four independent experiments with SEM (t-test, P = 0.027), (c) Mean fork density (number of forks/100kb) of four experiments with SEM (t-test, P = 0.018), (d) Box-plot of distances between replication eyes (kb) of representative experiment from (a), scale bar 3 kb,* significantly different (P < 0.05).
|
|
Fig 4. Checkpoint activation upon low nuclei to cytoplasm ratios in the presence of aphidicolin.(a) Sperm nuclei (100 nuclei/μl) were added to egg extracts in the presence of aphidicolin, nuclear extracts were prepared and subjected to gel electrophoresis and western blot analysis using an anti- P-Chk1 and XChk1 antibody, (b) For combing experiments sperm nuclei (100 nuclei/μl) were added to egg extracts in the presence of aphidicolin (7.5 μg/ml), biotin-dUTP and in the presence or absence of UCN-01 (1μM) for 90 min, DNA was isolated and combed, mean replication extent of two independent experiments with SEM (t-test, P = 0.049), (c) Xenopus embryos were incubated in aphidicolin (100 μM) for 30 min prior to harvest at stage 8 (pre-MBT) and stage 9 (post-MBT), nuclei extracts were prepared, subjected to gel electrophoresis and western blot analysis using a P-Chk1 antibody and XORC as loading control, LSS (low speed supernatant, extract),* significantly different (P < 0.05).
|
|
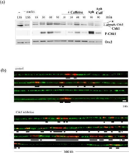
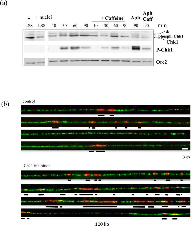
Fig 5. Chk1 activation during unchallenged S phase.(a) Sperm nuclei were added to egg extract for indicated times in the presence or absence of aphidicolin and caffeine, isolated nuclei were subjected to gel electrophoresis and western blot analysis using antibodies against XChk1, anti P-Chk1, XORC2, LSS, low speed supernatant, * marks a non-specific band, (b) Sperm nuclei were added to egg extracts in the presence of Biotin-dUTP for indicated times in the presence or absence of UCN-01 (1μM), Representative combed DNA fibers from early S phase (40 min), in the absence (above) or presence (below) of UCN-01 (merge: green, whole DNA label; red, biotin labeled replication eyes), scale bar 3 kb.
|
|
Fig 6. Inhibition of Chk1 induces the increase of fork density but not the decrease of eye-to-eye distances.(a) first independent DNA combing experiment: top: replication extent, middle: fork density (number of forks/100kb), bottom: box-plot of eye-to-eye distances (kb), (b) second independent experiment: top replication extent, middle: fork density (numbers of forks/100kb), bottom: box-blot of eye-to-eye distances, (c) mean replication extent with SEM of four independent experiments from early S phase (t-test, P = 0.0017), (d) mean fork density with SEM of four independent experiments from early S phase (t-test, P = 0.013), * indicates significant difference (P<0.05).
|
|
Fig 7. Inhibition of Chk1 activity by AZD-7762 increases DNA synthesis and fork density in the presence and absence of aphidicolin.(a) Sperm nuclei were added to egg extracts in the presence of [α-32P]-dATP with or without 0.5 μM AZD-7762 and aphidicolin (7.5 μg/ml) and nascent DNA strands synthesized after 90 min were analyzed by alkaline gel electrophoresis, (b) Quantification of (a) and another independent experiment, mean replication with SEM (t-test, P = 0.013), (c) sperm nuclei were added to egg extracts in the presence of biotin-dUTP, aphidicolin with or without AZD-7762 for 105 min and DNA combing analysis was performed, mean replication extent with SEM of two independent experiments (t-test, P = 0.021), (d) fork density (t-test, P = 0.048), (e) eye-to-eye distances (Mann-Whitney, P = 0.045), (f) sperm nuclei were added to egg extracts in the presence of biotin-dUTP, with or without AZD-7762 and DNA combing analysis was performed, mean replication extent with SEM of two independent experiments at early S phase (t-test, P = 0.013), (g) fork density (t-test, P = 0.046), (h) eye-to-eye distances (Mann-Whitney, P = 0.434), * significantly different (P < 0.05).
|
|
Fig 8. Chk1 overexpression inhibits DNA replication by inhibiting replication cluster activation.(a) Sperm nuclei were added to frozen egg extracts in the presence of [α-32P]-dATP for indicated times in the absence (squares) or presence of 120 nM (triangles) recombinant XChk1, DNA was isolated, separated by agarose gel electrophoresis and quantified, mean with SEM of two independent experiments (t-tests: P values <0.05). For combing experiments sperm nuclei were added to egg extracts in the presence of Biotin-dUTP for 45 min in the presence or absence of recombinant XChk1 (120 nM), (b) Representative combed DNA fibers, in the absence (above) or presence (below) of supplemented XChk1 (merge: green, whole DNA label; red, biotin labeled replication eyes), (c) Mean replication extent of two independent experiments with SEM (t-test: P = 0.029), 45 min, (d) Fork density (number of forks/100kb) mean with SEM (t-test: P = 0.037), (e) Box-plot of eye-to-eye distances, 35 min (Mann Whitney, P-value = 0.0002) (kb), Scale bar 3 kb, *significantly different (P < 0.05).
|
|
Fig 9. Chk1 overexpression decreases Cdk2 activity.(a) Isolated chromatin and (b) sperm nuclei from reactions in Fig 8B were subjected to gel electrophoresis and western blot analysis using indicated antibodies. Relative protein levels normalized to the loading control Orc2 or histone H3 are indicated below. (c) Western blot for Cdk2 of nuclear lysate (input), mock and Cdk2 IP, (d) Histone H1 kinase assay of cdk2 or mock immunoprecipitates (IP) of nuclear lysates in the absence or presence of recombinant Chk1, duplicates for Cdk2 IPs (e) Quantification of relative histone H1 kinase activity in (d) and two other independent experiments, means of three independent experiments with SEM (t-test: P values < 0.005), * significant difference (P < 0.05).
|
|
Fig 10. Numerical simulation of initiation frequencies including Chk1 action.Initiation frequency (I(f)) increases during early S phase to a higher value after Chk1 inhibition. Experimental (circles) and theoretical, fitted (line) I(f) values. (a) in presence of Chk1 activity, (b) in absence of Chk1 activity, see main text for more details, (c) Model of spatio-temporal regulation of origin activation in Xenopus, see discussion for details.
|
|
Fig 1. Inhibition of Chk1 activity by UCN-01 increases DNA synthesis in the presence of aphidicolin.(a) Sperm nuclei (1000n/μl) were added to egg extracts for 35 and 60 min in the presence or absence of aphidicolin and caffeine, and whole extracts were subjected to gel electrophoresis and western blot analysis using an anti-P-S345-Chk1 antibody, (b) Sperm nuclei were added to egg extracts for 90 min in the presence or absence of aphidicolin and 1μM UCN-01, western blot against whole extracts using antibody against phospho-Y15 Cdk2, loading control histone H3, (c) Sperm nuclei were added to egg extracts in the presence of [α-32P]-dATP with or without 1μM UCN and aphidicolin (5 or 10 μg/ml) and nascent DNA strands synthesized after 90 min were analyzed by alkaline DNA electrophoresis, (d) Quantification of six independent alkaline DNA electrophoresis experiments at 7.5 μg/ml aphidicolin, mean with SEM (t-test, P = 0.0387), 100% replication is defined as the signal in theâAph-control after 90 min, * marks significant difference (P < 0.05).
|