Click here to close
Hello! We notice that you are using Internet Explorer, which is not supported by Xenbase and may cause the site to display incorrectly.
We suggest using a current version of Chrome,
FireFox, or Safari.
Nat Struct Mol Biol
2011 Dec 04;191:17-24. doi: 10.1038/nsmb.2177.
Show Gene links
Show Anatomy links
RAD51- and MRE11-dependent reassembly of uncoupled CMG helicase complex at collapsed replication forks.
Hashimoto Y
,
Puddu F
,
Costanzo V
.
???displayArticle.abstract???
In higher eukaryotes, the dynamics of replisome components during fork collapse and restart are poorly understood. Here we have reconstituted replication fork collapse and restart by inducing single-strand DNA lesions that create a double-strand break in one of the replicated sister chromatids after fork passage. We found that, upon fork collapse, the active CDC45-MCM-GINS (CMG) helicase complex loses its GINS subunit. A functional replisome is restored by the reloading of GINS and polymerase ɛ onto DNA in a fashion that is dependent on RAD51 and MRE11 but independent of replication origin assembly and firing. PCNA mutant alleles defective in break-induced replication (BIR) are unable to support restoration of replisome integrity. These results show that, in higher eukaryotes, replisomes are partially dismantled after fork collapse and fully re-established by a recombination-mediated process.
Cancer Research UK, 206281 European Research Council, A15668 Cancer Research UK, A7124 Cancer Research UK, CRUK_A15668 Cancer Research UK, CRUK_A7124 Cancer Research UK, ERC_206281 European Research Council
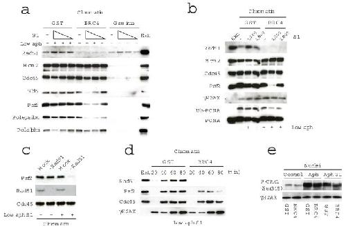
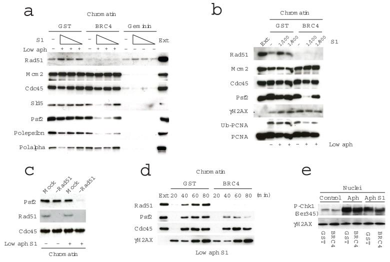
Figure 2. RAD51 is required for stable chromatin association of fork proteins in the presence template breakage. In (a) fork proteins association to chromatin isolated from extracts treated with GST or GST-BRC4 and 0, 2.92, 0.97, and 0.32 U μlâ1 S1 nuclease in the presence of 1μg mlâ1 aphidicolin (Low aph) was analysed. In (b) we monitored the chromatin status of fork proteins, histone H2AX and PCNA in extracts treated with GST or GST-BRC4 2.92 (1/100) and 0.37 (1/800) U μlâ1 S1 nuclease and aphidicolin. In (c) chromatin binding of PSF2 and CDC45 in the presence of 0.97 U μlâ1 S1 nuclease was analysed in mock or RAD51 depleted extracts. In (d) chromatin binding of the indicated proteins over time in extracts treated with GST or GST-BRC4 and 1.46 U μlâ1 of S1 nuclease and aphidicolin was monitored. In (e) nuclear Chk1 phosphorylation on Ser 345 was monitored in extracts treated with 1μg/ml aphidicolin alone or in combination with 1.46 U μlâ1 of S1 nuclease. W.B in aâe were performed using antibodies against the indicated chromatin binding factors. Ext: 0.5 μl egg extract was loaded as control in (b) and (d). Chromatin and nuclear fractions were isolated 60 min after the addition of sperm DNA to egg extracts unless otherwise indicated.
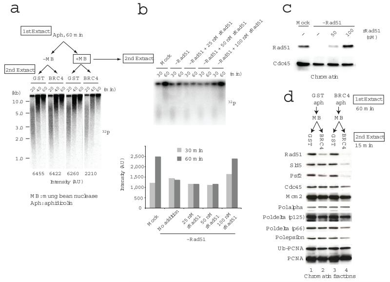
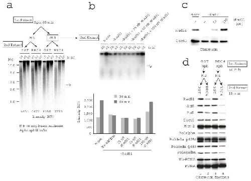
Figure 3. RAD51 is required for origin independent fork restart and reloading of replisome components after fork collapse. In (a) and (b) replication fork restart was monitored following incubation of sperm nuclei in the 1st extract for 60 min with or without 10 μg/ml aphidicolin and then transferring nuclear fractions that were untreated or briefly incubated with Mung bean nuclease to a 2nd extract containing 320 nM geminin, 1 mM roscovitine and GST or GST-BRC4 (a), or to mock or RAD51-depleted extracts containing 25, 50, 100 nM recombinant RAD51 (b). Replication products were monitored by incorporation of 32P-dATP added to the 2nd extract and resolved by alkaline (a) or neutral agarose gel (b) and subjected to autoradiography. Quantification of signals is shown at the bottom of the gel in (a) and in the graph (b). In (c) chromatin binding of RAD51 and CDC45 was monitored in egg extracts that were mock or RAD51 depleted and supplemented with the indicated amount of recombinant RAD51 (rRAD51). The status of replication fork proteins bound to chromatin isolated from extracts treated as in (a) is shown in (d).
Figure 4. MRE11 nuclease activity is required for DNA replication upon fork collapse. In (a) and (b) the effects of MRE11 nuclease inhibitor mirin on replication of sperm nuclei that were untreated or treated with MMS in the presence or absence of GST-BRC4 (a) or on sperm nuclei incubated in extracts treated with 0, 0.73, 0.37, 0.18 U μl−1 S1 nuclease and aphidicolin were monitored (b). Replication products were monitored by 32P-dATP incorporation and resolved by neutral agarose gels, which were subjected to autoradiography. Signal intensities were reported in the graphs. In (c) the effect of mirin on replication proteins bound to chromatin isolated after 50 min incubation in extracts treated with 0, 1.46, 0.73, 0.37 and 0.18 U μl−1 S1 nuclease was analysed. In (d) the binding of the indicated fork proteins to chromatin incubated for 45 min in egg extracts that were untreated or supplemented with 0.73 U μl−1 S1 nuclease and mirin was monitored following protein crosslinking, sonication induced DNA fragmentation and immunoprecipitation with control and anti-CDC45 serum. * non-specific band. Ext: 0.5 μl egg extract was loaded as a control in (c) and (d).
Figure 5. The role of PCNA in DNA replication and chromatin association of replication proteins upon fork collapse. In (a) replication of sperm nuclei incubated in extracts for 80 min in the presence of 1 μg ml−1 aphidicolin and 0, 0.73, 0.37, 0.18 U μl−1 S1 nuclease and PCNA wild type (WT), PCNA K164R (KR), PCNA Y249A Y250A (YA) or PCNA K164R Y249A Y250A (KR YA) recombinant proteins. Replication products were resolved by neutral agarose gel and subjected to autoradiography (left). Signal intensities were quantified and reported in the graph (right). (b) Binding to chromatin of the indicated proteins was monitored by immunoblotting of chromatin treated with 200 J m−2 UV or incubated in extracts treated with 1 μg ml−1 aphidicolin, 0.97 U μl−1 S1 nuclease or 0.1 U μl−1 EcoR1 and recombinant PCNA wild type (WT), PCNA K164R (KR) or PCNA Y249A Y250A (YA) as indicated. 0.5 μl egg extract was loaded as a control (Ext). (c) The interaction of PCNA and replication proteins in egg extract was monitored by incubation of His-tagged wild type and mutant PCNA proteins followed by pull down with Ni-NTA sepharose. The interacting proteins were detected by immunoblotting as indicated.
Figure 6. A model of replication fork collapse and restart: The presence of a ssDNA lesion in the template creates one-sided DSB at the passage of the replisome (1) leading to the dissociation of the GINS and Pol epsilon from the fork, whereas MCM and CDC45 remain stably bound to collapsed forks (2). The one-sided DSB undergoes MRE11 mediated nuclease resection and RAD51 dependent strand annealing/invasion of the intact template. The MRE11 complex might also tether the broken DNA strand to the intact one (3). This process requires BIR proficient PCNA, which promotes Pol eta dependent strand extension (4). Reloading of the GINS and Pol epsilon in an origin independent fashion promotes reassembly of functional replisome (5).
Andersen,
Eukaryotic DNA damage tolerance and translesion synthesis through covalent modifications of PCNA.
2008, Pubmed
Andersen,
Eukaryotic DNA damage tolerance and translesion synthesis through covalent modifications of PCNA.
2008,
Pubmed
Balestrini,
GEMC1 is a TopBP1-interacting protein required for chromosomal DNA replication.
2010,
Pubmed
,
Xenbase
Bjergbaek,
Mechanistically distinct roles for Sgs1p in checkpoint activation and replication fork maintenance.
2005,
Pubmed
Bruck,
GINS and Sld3 compete with one another for Mcm2-7 and Cdc45 binding.
2011,
Pubmed
Bryant,
PARP is activated at stalled forks to mediate Mre11-dependent replication restart and recombination.
2009,
Pubmed
Buis,
Mre11 nuclease activity has essential roles in DNA repair and genomic stability distinct from ATM activation.
2008,
Pubmed
Chang,
DNA damage tolerance: when it's OK to make mistakes.
2009,
Pubmed
Chong,
Purification of an MCM-containing complex as a component of the DNA replication licensing system.
1995,
Pubmed
,
Xenbase
Cobb,
Replisome instability, fork collapse, and gross chromosomal rearrangements arise synergistically from Mec1 kinase and RecQ helicase mutations.
2005,
Pubmed
Costa,
The structural basis for MCM2-7 helicase activation by GINS and Cdc45.
2011,
Pubmed
Costanzo,
Reconstitution of an ATM-dependent checkpoint that inhibits chromosomal DNA replication following DNA damage.
2000,
Pubmed
,
Xenbase
Daigaku,
Ubiquitin-dependent DNA damage bypass is separable from genome replication.
2010,
Pubmed
Davis,
RAD51-dependent break-induced replication in yeast.
2004,
Pubmed
De Haro,
Metnase promotes restart and repair of stalled and collapsed replication forks.
2010,
Pubmed
Edwards,
MCM2-7 complexes bind chromatin in a distributed pattern surrounding the origin recognition complex in Xenopus egg extracts.
2002,
Pubmed
,
Xenbase
Errico,
Tipin/Tim1/And1 protein complex promotes Pol alpha chromatin binding and sister chromatid cohesion.
2009,
Pubmed
,
Xenbase
Errico,
Differences in the DNA replication of unicellular eukaryotes and metazoans: known unknowns.
2010,
Pubmed
Falck,
The DNA damage-dependent intra-S phase checkpoint is regulated by parallel pathways.
2002,
Pubmed
Gambus,
GINS maintains association of Cdc45 with MCM in replisome progression complexes at eukaryotic DNA replication forks.
2006,
Pubmed
Hashimoto,
Rad51 protects nascent DNA from Mre11-dependent degradation and promotes continuous DNA synthesis.
2010,
Pubmed
,
Xenbase
Huertas,
DNA resection in eukaryotes: deciding how to fix the break.
2010,
Pubmed
Ira,
Characterization of RAD51-independent break-induced replication that acts preferentially with short homologous sequences.
2002,
Pubmed
Karras,
The RAD6 DNA damage tolerance pathway operates uncoupled from the replication fork and is functional beyond S phase.
2010,
Pubmed
Kawamoto,
Dual roles for DNA polymerase eta in homologous DNA recombination and translesion DNA synthesis.
2005,
Pubmed
Kraus,
Break-induced replication: a review and an example in budding yeast.
2001,
Pubmed
Krokan,
Aphidicolin inhibits DNA synthesis by DNA polymerase alpha and isolated nuclei by a similar mechanism.
1981,
Pubmed
Kubota,
A novel ring-like complex of Xenopus proteins essential for the initiation of DNA replication.
2003,
Pubmed
,
Xenbase
Lambert,
Homologous recombination restarts blocked replication forks at the expense of genome rearrangements by template exchange.
2010,
Pubmed
Li,
The Ulp1 SUMO isopeptidase: distinct domains required for viability, nuclear envelope localization, and substrate specificity.
2003,
Pubmed
Llorente,
Break-induced replication: what is it and what is it for?
2008,
Pubmed
Lydeard,
Break-induced replication requires all essential DNA replication factors except those specific for pre-RC assembly.
2010,
Pubmed
Malkova,
RAD51-independent break-induced replication to repair a broken chromosome depends on a distant enhancer site.
2001,
Pubmed
Matsuoka,
ATM and ATR substrate analysis reveals extensive protein networks responsive to DNA damage.
2007,
Pubmed
McGarry,
Geminin, an inhibitor of DNA replication, is degraded during mitosis.
1998,
Pubmed
,
Xenbase
McIlwraith,
Human DNA polymerase eta promotes DNA synthesis from strand invasion intermediates of homologous recombination.
2005,
Pubmed
Meijer,
Biochemical and cellular effects of roscovitine, a potent and selective inhibitor of the cyclin-dependent kinases cdc2, cdk2 and cdk5.
1997,
Pubmed
,
Xenbase
Michel,
Multiple pathways process stalled replication forks.
2004,
Pubmed
Mimura,
Xenopus Cdc45-dependent loading of DNA polymerase alpha onto chromatin under the control of S-phase Cdk.
1998,
Pubmed
,
Xenbase
Moriel-Carretero,
A postincision-deficient TFIIH causes replication fork breakage and uncovers alternative Rad51- or Pol32-mediated restart mechanisms.
2010,
Pubmed
Moyer,
Isolation of the Cdc45/Mcm2-7/GINS (CMG) complex, a candidate for the eukaryotic DNA replication fork helicase.
2006,
Pubmed
Muramatsu,
CDK-dependent complex formation between replication proteins Dpb11, Sld2, Pol (epsilon}, and GINS in budding yeast.
2010,
Pubmed
Pacek,
Localization of MCM2-7, Cdc45, and GINS to the site of DNA unwinding during eukaryotic DNA replication.
2006,
Pubmed
,
Xenbase
Petermann,
Hydroxyurea-stalled replication forks become progressively inactivated and require two different RAD51-mediated pathways for restart and repair.
2010,
Pubmed
Petermann,
Pathways of mammalian replication fork restart.
2010,
Pubmed
Santocanale,
Activation of dormant origins of DNA replication in budding yeast.
1999,
Pubmed
Sclafani,
Cell cycle regulation of DNA replication.
2007,
Pubmed
Signon,
Genetic requirements for RAD51- and RAD54-independent break-induced replication repair of a chromosomal double-strand break.
2001,
Pubmed
Stephens,
Complex landscapes of somatic rearrangement in human breast cancer genomes.
2009,
Pubmed
Sutherland,
The role of nucleotides in human fragile site expression.
1988,
Pubmed
Takayama,
GINS, a novel multiprotein complex required for chromosomal DNA replication in budding yeast.
2003,
Pubmed
Tanaka,
Regulation of the initiation step of DNA replication by cyclin-dependent kinases.
2010,
Pubmed
Tittel-Elmer,
The MRX complex stabilizes the replisome independently of the S phase checkpoint during replication stress.
2009,
Pubmed
Trenz,
ATM and ATR promote Mre11 dependent restart of collapsed replication forks and prevent accumulation of DNA breaks.
2006,
Pubmed
,
Xenbase
Trenz,
Plx1 is required for chromosomal DNA replication under stressful conditions.
2008,
Pubmed
,
Xenbase
Woodward,
Excess Mcm2-7 license dormant origins of replication that can be used under conditions of replicative stress.
2006,
Pubmed
,
Xenbase