|
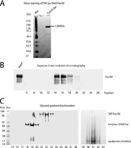
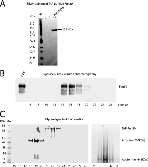
FIGURE 1. Purification of the Fun30 complex. A, SDS-PAGE and silver staining of TAP-purified Fun30. B, Superose-6 chromatography of TAP-purified Fun30. Fractions containing Fun30 were detected by Western blotting with anti-TAP antibody. The Fun30 peak (fraction 16) corresponds to a molecular mass of 250 kDa calculated from a standard curve of molecular mass standards run on the same column (not shown). C, Fun30 was resolved by 10–40% glycerol gradient sedimentation together with amylase and apoferritin as molecular weight markers. Coomassie Blue staining followed SDS-PAGE of the fractions indicated where each protein elutes. The elution profile for Fun30 peaked in fraction 22, which was consistent with a complex of about 250 kDa.
|
|
FIGURE 2. TAP-purified Fun30 is a homodimer. A, Western blots of Fun30 recovered following reciprocal coimmunoprecipitation from a yeast strain expressing either TAP-tagged Fun30 (lanes 1 and 2) or both HA- and TAP-tagged Fun30 (lanes 3 and 4). Detection of HA-tagged protein in the bound fraction (B) following TAP IP and TAP following HA IP (lane 3) indicates that the two forms of Fun30 interact. Immunopurification effectively removed Fun30 from the supernatant (S). B, preparations of Fun30 purified by TAP tag and His tag were mixed together and subject to IP with nickel-agarose beads. The presence of TAP-tagged Fun30 on the nickel beads indicates that these two proteins can interact.
|
|
FIGURE 3. Fun30 has ATPase activity. A, TLC analysis showing ATPase activity of the Fun30 complex. The ATPase activity of ∼12 nm Fun30 (lanes 8–11) is compared with that of the ∼5 nm SWI/SNF complex (lanes 4–7) using 2 ng of either single-stranded (ss) or double-stranded (ds) DNA, or 2 ng of HeLa chromatin as the substrate. In lanes 1–3, no chromatin remodeling proteins are added, and in lanes 4 and 8, no substrate is included. B, Fun30 has a specific activity comparable with RSC. Rates of ATP hydrolysis were assessed using a real time ATPase assay using the indicated quantities of enzyme in the presence of 2 ng of chromatin.
|
|
FIGURE 4. The Fun30 binds DNA and chromatin. A, Fun30 binds to nucleosome arrays efficiently. Immobilized G5E4 (either DNA or reconstituted into nucleosomal arrays), generated as described under “Experimental Procedures,” was incubated with an equal amount of Fun30 (lanes 7–10) or the SWI/SNF complex (lanes 2–5, as control) based on anti-TAP Western blotting normalization. The amount of bound protein (SWI/SNF complex or Fun30) was determined by separating the supernatants (S) from the beads (B), washing the beads, and running them on a 12% SDS gel followed by Western blot analysis using the anti-TAP antibody for detection of the proteins. The background binding of SWI/SNF or Fun30 to the magnetic Dynabeads alone are shown in lanes 1 and 6, respectively. B, nucleosomes were assembled on the fragment 0W47 in which the 601 nucleosome positioning sequence directs assembly of a nucleosome such that it is flanked by 47 bp of linker DNA on one side. Incubation of 30 nm 0W47 nucleosomes with increasing concentrations of His6 Fun30 (28 nm to 1 μm, lanes 2–11) resulted in a gel-shifted species (Nuc/Fun30). C, binding curves indicating the fraction of the Fun30-bound template following incubation with the indicated concentrations of Fun30. Quantification was based on the material remaining unbound in gel shifts such as that shown in B. ◇, corresponds to 0W0 DNA; ■, corresponds to 0W47 nucleosomes; and ▵, corresponds to 0W0 nucleosomes.
|
|
FIGURE 5. Fun30 is an ATP-dependent chromatin remodeling enzyme. A, schematic illustration of the template used for restriction enzyme accessibility assays. B, restriction enzyme accessibility assay. Increasing amounts of SWI/SNF (∼2–8 nm, lanes 5–7) and Fun30 (∼10–40 nm, lanes 8–10) based on normalization were added to ∼10 ng of the GUB template in the presence or absence of 2 mm ATP as indicated. The binding reactions were then treated with 10 units of SalI for 30 min at 30 °C and the proportion of DNA cleaved was assessed by electrophoresis.
|
|
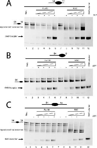
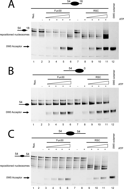
FIGURE 6. Fun30 has higher activity in histone dimer exchange than nucleosome repositioning. 10-μl reactions containing 0.25 pmol of nucleosomes (250 nm) in which H2B is fluorescently labeled with Cy5 assembled at the murine mammary tumor virus nucleosome A (NucA) positioning sequence flanked by the indicated lengths of linker DNA were incubated with Fun30 (100, 200, 300, and 400 pm, lanes 3–6) or RSC (100, 200, 300, and 400 pm, lanes 8–11) in the presence of 0.75 pmol of histone tetramers assembled onto 147-bp DNA (0W0). In each panel, lane 1 contains nucleosomes assembled on the appropriate donor DNA fragment and lane 12 contains the 0W0 fragment assembled with an octamer including fluorescently labeled H2B. Following native gel electrophoresis, the fate of H2B was monitored by fluorescent scanning of the gels. In some cases the signal moves to a location consistent with repositioning of nucleosomes on the donor DNA fragment. In others, transfer to the 0W0 acceptor DNA, which has a distinct mobility, could be detected. Fun30 was observed to cause dimer exchange even in circumstances where repositioning was inefficient. A, the donor nucleosome has an asymmetric linker DNA of 54 bp on one end and 18 bp on the other (54A18). B, the donor nucleosome has a 54-bp linker DNA on one end and 0 bp on the other (54A0). C, the donor nucleosome has 54-bp linkers on either side (54A54).
|
|
FIGURE 7. Fun30 contains a CUE motif, but no specific interaction with ubiquitinylated histones can be detected. A, schematic representation of CUE domain location within Fun30. A native gel in which ∼200 nm HeLa mononucleosomes were incubated with increased quantities of Fun30 (∼5–320 nm, lanes 2–8) was transferred to a polyvinylidene difluoride membrane. B, the transfer of ubiquitinylated histones was monitored by Western blotting using an anti-ubiquitin antibody. C, Western blotting to detect the transfer of total H2B. No difference in the efficiency with which ubiquitinylated or total H2B is transferred could be detected.
|