Click here to close
Hello! We notice that you are using Internet Explorer, which is not supported by Xenbase and may cause the site to display incorrectly.
We suggest using a current version of Chrome,
FireFox, or Safari.
PLoS Pathog
2010 Jan 29;61:e1000741. doi: 10.1371/journal.ppat.1000741.
Show Gene links
Show Anatomy links
Nucleoporin 153 arrests the nuclear import of hepatitis B virus capsids in the nuclear basket.
Schmitz A
,
Schwarz A
,
Foss M
,
Zhou L
,
Rabe B
,
Hoellenriegel J
,
Stoeber M
,
Panté N
,
Kann M
.
???displayArticle.abstract???
Virtually all DNA viruses including hepatitis B viruses (HBV) replicate their genome inside the nucleus. In non-dividing cells, the genome has to pass through the nuclear pore complexes (NPCs) by the aid of nuclear transport receptors as e.g. importin beta (karyopherin). Most viruses release their genome in the cytoplasm or at the cytosolic face of the NPC, as the diameter of their capsids exceeds the size of the NPC. The DNA genome of HBV is derived from reverse transcription of an RNA pregenome. Genome maturation occurs in cytosolic capsids and progeny capsids can deliver the genome into the nucleus causing nuclear genome amplification. The karyophilic capsids are small enough to pass the NPC, but nuclear entry of capsids with an immature genome is halted in the nuclear basket on the nuclear side of the NPC, and the genome remains encapsidated. In contrast, capsids with a mature genome enter the basket and consequently liberate the genome. Investigating the difference between immature and mature capsids, we found that mature capsids had to disintegrate in order to leave the nuclear basket. The arrest of a karyophilic cargo at the nuclear pore is a rare phenomenon, which has been described for only very few cellular proteins participating in nuclear entry. We analyzed the interactions causing HBV capsid retention. By pull-down assays and partial siRNA depletion, we showed that HBV capsids directly interact with nucleoporin 153 (Nup153), an essential protein of the nuclear basket which participates in nuclear transport via importin beta. The binding sites of importin beta and capsids were shown to overlap but capsid binding was 150-fold stronger. In cellulo experiments using digitonin-permeabilized cells confirmed the interference between capsid binding and nuclear import by importin beta. Collectively, our findings describe a unique nuclear import strategy not only for viruses but for all karyophilic cargos.
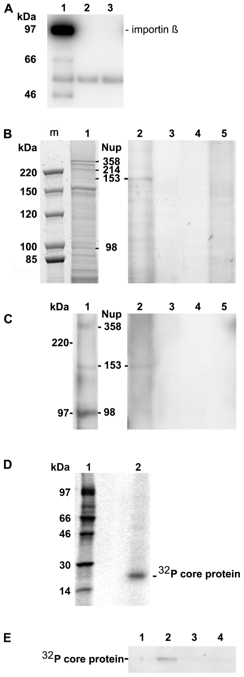
Figure 1. Co-immune precipitation of Nup153 from rat nuclear extracts with Immat-C.A. Importin β binding of Nups after renaturation. Nuclear extract was incubated with importin β and FXFG repeat-containing Nups were precipitated using mAb414-coated biomagnetic beads. Panel A depicts an immune blot using an anti-importin β antibody showing that importin β was co-precipitated by the nucleoporins. 1: mAB414-coated beads + nuclear extract+importin β. 2: mAB414-coated beads without nuclear extract + importin β. 3: Uncoated beads+nuclear extract + importin β. The 54 kDa band present in all lanes represents the heavy chain of the antibodies. The bands at 66 and 47 kDa in lane 1 are most likely degradation products of Imp β. B. Protein co-precipitation by capsids from nuclear extract. Sypro Red stain after SDS PAGE. m: marker. The MW is listed on the left. 1: nuclear extract without precipitation. The migration of different nucleoporins is indicated on the right. 2: Co-immune precipitation of nuclear extract with Immat-C bound to anti capsid antibody-coated biomagnetic beads. 3: Negative control without nuclear extract. 4: Beads only. 5: Co-immune precipitation of nuclear extract without Immat-C by anti capsid antibody-coated biomagnetic beads. The stain shows a precipitation of a protein with an apparent MW of ∼180 kDa. C. Immune blot of the nuclear protein(s), which were co-precipitated by Immat-C. Immune detection was performed using mAb414. 1–5 as in Figure 1B. The blot shows that the co-precipitated protein is mAb414-reactive. D. Phosphoimager scan of 32P-labeled Immat-C (lane 2) and marker (lane 1) showing that a single protein was labeled. E. Phosphoimager scan of precipitations in which 32P-labelled Immat-C was incubated with nuclear extracts followed by precipitation of nucleoporins, which were bound to mAb414-coated biomagnetic beads. Capsid-co-precipitation is indicated by the radioactive core proteins on an SDS PAGE. 1: mAb414-coated beads without nuclear extract + capsids 2: Anti capsid coated beads + nuclear extract + capsids, 3: Anti capsid coated beads + nuclear extract without capsids, 4: Uncoated beads + nuclear extract + capsids. The figure shows that Immat-C precipitates Nup153 from the nuclear extract of rat liver.
Figure 2. Co-immune precipitations of human Nup153 and Nup153 fragments with different capsids.A–D. Capsids were incubated with nuclear extract, GST-Nup153 or Nup153 fragments and precipitated with anti-capsid antibody-coated biomagnetic beads. The panels show immune blots after SDS PAGE. A–C: Detection by mAb414. A. 1 Immat-C, 2 Mat-C, 3 P-rC, 4 ΔC-rC. Co-precipitations of Nup153 from nuclear extracts showed that capsids precipitate Nup153 irrespective to the nucleic acid inside the capsid or the presence of the C terminus of the core protein. B. Co-precipitations of bacterially expressed GST-Nup153 showed that all capsid species directly interact with Nup153. 1 Immat-C, 2 Mat-C, 3 P-rC, 4 ΔC-rC. C. Specificity controls of GST-Nup153 co-precipitation exemplified by P-rC. 1. Positive control. P-rC + GST-Nup153 + anti capsid antibody-coated beads. 2. Without capsids + GST-Nup153 + anti capsid antibody-coated beads. 3. P-rC + without GST-Nup153 + anti capsid antibody-coated beads. D. Co-precipitation of GST-Nup153 fragments by P-rC. Immune detection of the Nup153 fragments by anti-GST antibodies bound to anti mouse coated biomagnetic beads. The GST-Nup153 fragment is given on the left of the panels, the capsid type at the top. p: GST-Nup153 fragment without precipitation (positive control). 1: P-rC + Nup153 fragment + anti capsid antibody-coated beads. 2: No capsids + Nup153 fragment + anti capsid antibody-coated beads. 3. P-rC + Nup153 fragment + uncoated beads. The figure shows that only the C1 fragment, which comprises aa 618–999 of Nup153, is precipitated by the capsids. E. Gel retardation of P-rC by GST-Nup153 N and C1 fragment on native agarose gels. The migration of GST-Nup153 N and C1 fragments without capsids is shown by anti-GST antibodies (right panel). The migration of the capsid without GST-Nup fragments is shown on the left panel using anti-capsid antibodies. The middle panel shows the capsid migration in the presence of GST-Nup153 N (left lane) and C1 (right lane). F. Gel retardation of P-rC by GST-Nup153 C2 fragment. Left: anti-capsid blot, right: anti-His blot. Left lanes: P-rC without Nup153 fragment, right lanes: P-rC with Nup153 fragment.
Figure 3. Competition of P-rC, Imp β and Nup153 interactions.A. Nup153 was preincubated with importin β and P-rC. The complex was precipitated by anti capsid antibody-coated beads and Nup153 was detected by Immune blot using mAb414. − negative control without P-rC, +: positive control in the absence of Imp β. 1–5. Different ratios of capsid-importin β. 1: 1∶33, 2: 1∶50, 3: 1∶100, 4: 1∶150, 5: 1∶300. B. Anti capsid antibody-coated beads were preloaded with P-rC. P-rC was then saturated with Nup153 followed by addition of different excesses of Imp β.−: and +: as in A. Molar ratio capsid-Imp β 1: 1∶2600, 2: 1∶4000, 3: 1∶5400, 4: 1∶6700. The figure shows that even an excess of Imp β cannot displace Nup153-bound capsids. After Nup153 attachment to the capsid even excessive amounts of Imp β cannot replace Nup153.
Figure 4. Nuclear import of P-rC in nuclei of partially Nup153-silenced cells.A. Immune blot of Nup153 in Nup153-silenced cells. Upper panel Nup153, lower panel: the house keeping gene Fibrillarin. The blot shows a significantly reduced Nup153 expression B. Nuclear import in digitonin-permeabilized cells. Left: control mock-transfected cells. Right: Nup153-silenced cells. Capsids and Nup153 are visualized by indirect immune fluorescence (see as well video in Supporting information). Consistent with the incomplete Nup153 knock down some P-rC entered the nucleus exclusively in Nup153 siRNA-treated cells.
Figure 5. Analysis of cross-linked core particles.A. Lane 1: 32P-labelled Mat-C-UV and (lane 2) 32P-labelled Mat-C were separated on a 4–12% SDS-PAGE. Phosphoimaging showed that the core proteins of Mat-C-UV did not enter the separating gel indicating successful cross-linking. In contrast the core proteins of Mat-C migrated as a 21.5 kDa band. m: 14C-labelled molecular weight marker. B. Immune blot of Mat-C-UV and non cross-linked P-rC after native agarose gel electrophoresis. Mat-C-UV migrated as the P-rC standard indicating that the core proteins were linked within the individual capsids and that the capsids were not linked to each other. The identical migration indicates that UV irradiation has not changed the surface charge. The numbers on top of the standard dilution series give the amount of the P-rC in pg.
Figure 6. Nuclear transport of Mat-C and Mat-C-UV.A. Electron microscopy of the capsids at the NPCs after microinjection into the cytoplasm of Xenopus laevis oocytes. The white arrows indicate capsids. Black scale bar: 100 nm. B. Frequency of NPC-attached capsids and the capsid distribution at the NPCs. Both capsid species showed a similar frequency at the NPCs and similar importation into the nuclear basket. C. In vitro transport assays of the capsids in digitonin-permeabilized HuH-7 cells. NPCs (red) and capsids (green) are visualized by indirect immune stain. The merges are depicted on the right panels. The panels show overviews and strongly magnified images. While Mat-C (upper two panels) caused intranuclear fluorescence cross-linked capsids (lower two panels) failed to enter the karyoplasm.
Figure 7. In vitro transport assays of NLS- and M9-linked fluorescent BSA conjugates after preload of the NPCs by P-rC.NPCs (yellow) were visualized by indirect immune fluorescence using mAb414. P-rC (cyan): Indirect capsid immune fluorescence using anti capsid antibodies. The panel show increasing signal strength related to the amounts of capsids subjected to the cells. NLS (red): fluorescence of Alexa594 NLS-BSA. M9 (blue): Fluorescence of Alexa647 M9-BSA. While the NLS-import rapidly decreased with increasing preload of the NPCs with P-rC, the M9-import was less affected. A. Negative control at 4°C without capsid preload. B. Positive control at 37°C without capsid preload. C. Preload of the nuclei with 25 ng P-rC, D. 100 ng P-rC, E. 400 ng P-rC, F. 1600 ng P-rC, G. 6400 ng P-rC, H. 12800 ng P-rC. All pictures were taken at the same magnification. Space bar: 20 µm.
Figure 8. Scatter plots of the relative intranuclear concentrations of M9- and NLS-BSA in individual cells preloaded with P-rC.Each point represents one cell. X-axis: Intranuclear concentration of the M9-BSA. Y-axis: Intranuclear concentration of NLS-BSA. Both axes give the relative intranuclear cargo concentration in %. The dotted lines show the regression lines. The corresponding slope is given in each panel. The average number of capsids per NPC is given on top of each panel. A. Negative control at 4°C. B. Positive control without capsid preload. C.–H. Increasing amounts of P-rC as in Figure 8. 100%: mean value of the positive import reaction. Only those cells were analyzed in which the section was within the equatorial region (570 cells total).
Figure 9. Schematic model of intranuclear basket events leading to genome release from the hepatitis B virus capsid.A. Capsids in complex with the nuclear transport receptors Import α and β attach to the nuclear pore. B. The complex passes the nuclear pore and becomes arrested by interaction between importin β and Nup153. C. RanGTP dissociates the nuclear transport receptors from the capsid and recycles them into the cytoplasm. D. After removal of the nuclear transport receptors Nup153 interact directly with the capsid. Immature Capsids remain in the arrested statebut eventually undergo further maturation. E. Mature capsids disintegrate. F. Capsid subunits, which are supernumerous to the Nup153 copies, diffuse into the nucleus. The polymerase-viral DNA complex leaves the basket. The central framework of the NPC is shown as black spheres, Nup153 as red boxes, Import α and β complex as green ellipse. The capsids are depicted as hexagons, containing the rcDNA genome (black circles) and the polymerase (grey sphere).
Adam,
Identification of cytosolic factors required for nuclear location sequence-mediated binding to the nuclear envelope.
1994, Pubmed
Adam,
Identification of cytosolic factors required for nuclear location sequence-mediated binding to the nuclear envelope.
1994,
Pubmed
Adam,
Nuclear protein import in permeabilized mammalian cells requires soluble cytoplasmic factors.
1990,
Pubmed
,
Xenbase
Asabe,
The size of the viral inoculum contributes to the outcome of hepatitis B virus infection.
2009,
Pubmed
Ball,
Versatility at the nuclear pore complex: lessons learned from the nucleoporin Nup153.
2005,
Pubmed
Bapteste,
The two tempos of nuclear pore complex evolution: highly adapting proteins in an ancient frozen structure.
2005,
Pubmed
Ben-Efraim,
Gradient of increasing affinity of importin beta for nucleoporins along the pathway of nuclear import.
2001,
Pubmed
Blobel,
Nuclei from rat liver: isolation method that combines purity with high yield.
1966,
Pubmed
Bodoor,
Sequential recruitment of NPC proteins to the nuclear periphery at the end of mitosis.
1999,
Pubmed
Bourne,
Quantitative analysis of HBV cccDNA from clinical specimens: correlation with clinical and virological response during antiviral therapy.
2007,
Pubmed
Ceres,
Weak protein-protein interactions are sufficient to drive assembly of hepatitis B virus capsids.
2002,
Pubmed
Crowther,
Three-dimensional structure of hepatitis B virus core particles determined by electron cryomicroscopy.
1994,
Pubmed
D'Angelo,
Nuclear pores form de novo from both sides of the nuclear envelope.
2006,
Pubmed
,
Xenbase
Davis,
Nuclear pore complex contains a family of glycoproteins that includes p62: glycosylation through a previously unidentified cellular pathway.
1987,
Pubmed
Davis,
Identification and characterization of a nuclear pore complex protein.
1986,
Pubmed
DeGrasse,
Evidence for a shared nuclear pore complex architecture that is conserved from the last common eukaryotic ancestor.
2009,
Pubmed
Denning,
Disorder in the nuclear pore complex: the FG repeat regions of nucleoporins are natively unfolded.
2003,
Pubmed
Dryden,
Native hepatitis B virions and capsids visualized by electron cryomicroscopy.
2006,
Pubmed
Fahrenkrog,
Domain-specific antibodies reveal multiple-site topology of Nup153 within the nuclear pore complex.
2002,
Pubmed
,
Xenbase
Feldherr,
The molecular mechanism of translocation through the nuclear pore complex is highly conserved.
2002,
Pubmed
Gao,
Formation of hepatitis B virus covalently closed circular DNA: removal of genome-linked protein.
2007,
Pubmed
Garcia-Segura,
Distribution of nuclear pores and chromatin organization in neurons and glial cells of the rat cerebellar cortex.
1989,
Pubmed
Gazina,
Core protein phosphorylation modulates pregenomic RNA encapsidation to different extents in human and duck hepatitis B viruses.
2000,
Pubmed
Gerelsaikhan,
Hepatitis B virus nucleocapsid envelopment does not occur without genomic DNA synthesis.
1996,
Pubmed
Glebe,
Viral and cellular determinants involved in hepadnaviral entry.
2007,
Pubmed
Görlich,
Distinct functions for the two importin subunits in nuclear protein import.
1995,
Pubmed
,
Xenbase
Görlich,
Isolation of a protein that is essential for the first step of nuclear protein import.
1994,
Pubmed
,
Xenbase
Greber,
The role of the nuclear pore complex in adenovirus DNA entry.
1997,
Pubmed
Guo,
Characterization of the intracellular deproteinized relaxed circular DNA of hepatitis B virus: an intermediate of covalently closed circular DNA formation.
2007,
Pubmed
Harborth,
Identification of essential genes in cultured mammalian cells using small interfering RNAs.
2001,
Pubmed
Hase,
Direct interaction with nup153 mediates binding of Tpr to the periphery of the nuclear pore complex.
2003,
Pubmed
Hindley,
A role for transportin in the nuclear import of adenovirus core proteins and DNA.
2007,
Pubmed
Kann,
Effect of core protein phosphorylation by protein kinase C on encapsidation of RNA within core particles of hepatitis B virus.
1994,
Pubmed
Kann,
Phosphorylation-dependent binding of hepatitis B virus core particles to the nuclear pore complex.
1999,
Pubmed
Krull,
Nucleoporins as components of the nuclear pore complex core structure and Tpr as the architectural element of the nuclear basket.
2004,
Pubmed
Lanford,
Construction and characterization of an SV40 mutant defective in nuclear transport of T antigen.
1984,
Pubmed
Leung,
NOPdb: Nucleolar Proteome Database.
2006,
Pubmed
Lim,
From the trap to the basket: getting to the bottom of the nuclear pore complex.
2006,
Pubmed
Mackay,
The nucleoporin Nup153 has separable roles in both early mitotic progression and the resolution of mitosis.
2009,
Pubmed
Matsuura,
Nup50/Npap60 function in nuclear protein import complex disassembly and importin recycling.
2005,
Pubmed
Melegari,
Hepatitis B virus DNA replication is coordinated by core protein serine phosphorylation and HBx expression.
2005,
Pubmed
Miller,
Nuclear pore complex: structure, function, and regulation.
1991,
Pubmed
Moriyama,
Immunobiology and pathogenesis of hepatocellular injury in hepatitis B virus transgenic mice.
1990,
Pubmed
Moroianu,
Mammalian karyopherin alpha 1 beta and alpha 2 beta heterodimers: alpha 1 or alpha 2 subunit binds nuclear localization signal and beta subunit interacts with peptide repeat-containing nucleoporins.
1995,
Pubmed
Nakielny,
Nup153 is an M9-containing mobile nucleoporin with a novel Ran-binding domain.
1999,
Pubmed
Nassal,
The arginine-rich domain of the hepatitis B virus core protein is required for pregenome encapsidation and productive viral positive-strand DNA synthesis but not for virus assembly.
1992,
Pubmed
Ojala,
Herpes simplex virus type 1 entry into host cells: reconstitution of capsid binding and uncoating at the nuclear pore complex in vitro.
2000,
Pubmed
Panté,
Use of intact Xenopus oocytes in nucleocytoplasmic transport studies.
2006,
Pubmed
,
Xenbase
Panté,
Nuclear pore complex is able to transport macromolecules with diameters of about 39 nm.
2002,
Pubmed
,
Xenbase
Panté,
Interactions and three-dimensional localization of a group of nuclear pore complex proteins.
1994,
Pubmed
,
Xenbase
Rabe,
Nuclear entry of hepatitis B virus capsids involves disintegration to protein dimers followed by nuclear reassociation to capsids.
2009,
Pubmed
Rabe,
Nuclear import of hepatitis B virus capsids and release of the viral genome.
2003,
Pubmed
Rabe,
Lipid-mediated introduction of hepatitis B virus capsids into nonsusceptible cells allows highly efficient replication and facilitates the study of early infection events.
2006,
Pubmed
Ribbeck,
Kinetic analysis of translocation through nuclear pore complexes.
2001,
Pubmed
Roseman,
A structural model for maturation of the hepatitis B virus core.
2005,
Pubmed
Sells,
Replicative intermediates of hepatitis B virus in HepG2 cells that produce infectious virions.
1988,
Pubmed
Shah,
Separate nuclear import pathways converge on the nucleoporin Nup153 and can be dissected with dominant-negative inhibitors.
,
Pubmed
,
Xenbase
Southern,
Detection of specific sequences among DNA fragments separated by gel electrophoresis.
1975,
Pubmed
Sukegawa,
A nuclear pore complex protein that contains zinc finger motifs, binds DNA, and faces the nucleoplasm.
1993,
Pubmed
Summers,
Hepadnavirus envelope proteins regulate covalently closed circular DNA amplification.
1990,
Pubmed
Terry,
Crossing the nuclear envelope: hierarchical regulation of nucleocytoplasmic transport.
2007,
Pubmed
Tran,
Dynamic nuclear pore complexes: life on the edge.
2006,
Pubmed
Trotman,
Import of adenovirus DNA involves the nuclear pore complex receptor CAN/Nup214 and histone H1.
2001,
Pubmed
van Loo,
Baculovirus infection of nondividing mammalian cells: mechanisms of entry and nuclear transport of capsids.
2001,
Pubmed
Vasu,
Novel vertebrate nucleoporins Nup133 and Nup160 play a role in mRNA export.
2001,
Pubmed
,
Xenbase
Walther,
The nucleoporin Nup153 is required for nuclear pore basket formation, nuclear pore complex anchoring and import of a subset of nuclear proteins.
2001,
Pubmed
,
Xenbase
Watts,
The morphogenic linker peptide of HBV capsid protein forms a mobile array on the interior surface.
2002,
Pubmed
Whittaker,
Viral entry into the nucleus.
2000,
Pubmed
Wodrich,
Adenovirus core protein pVII is translocated into the nucleus by multiple import receptor pathways.
2006,
Pubmed
Woodward,
Integrase interacts with nucleoporin NUP153 to mediate the nuclear import of human immunodeficiency virus type 1.
2009,
Pubmed
Yoakum,
High-frequency transfection and cytopathology of the hepatitis B virus core antigen gene in human cells.
1983,
Pubmed
Zlotnick,
Localization of the C terminus of the assembly domain of hepatitis B virus capsid protein: implications for morphogenesis and organization of encapsidated RNA.
1997,
Pubmed