Click here to close
Hello! We notice that you are using Internet Explorer, which is not supported by Xenbase and may cause the site to display incorrectly.
We suggest using a current version of Chrome,
FireFox, or Safari.
PLoS Genet
2007 Oct 01;310:1922-38. doi: 10.1371/journal.pgen.0030189.
Show Gene links
Show Anatomy links
The cdx genes and retinoic acid control the positioning and segmentation of the zebrafish pronephros.
Wingert RA
,
Selleck R
,
Yu J
,
Song HD
,
Chen Z
,
Song A
,
Zhou Y
,
Thisse B
,
Thisse C
,
McMahon AP
,
Davidson AJ
.
???displayArticle.abstract??? Kidney function depends on the nephron, which comprises a blood filter, a tubule that is subdivided into functionally distinct segments, and a collecting duct. How these regions arise during development is poorly understood. The zebrafish pronephros consists of two linear nephrons that develop from the intermediate mesoderm along the length of the trunk. Here we show that, contrary to current dogma, these nephrons possess multiple proximal and distal tubule domains that resemble the organization of the mammalian nephron. We examined whether pronephric segmentation is mediated by retinoic acid (RA) and the caudal (cdx) transcription factors, which are known regulators of segmental identity during development. Inhibition of RA signaling resulted in a loss of the proximal segments and an expansion of the distal segments, while exogenous RA treatment induced proximal segment fates at the expense of distal fates. Loss of cdx function caused abrogation of distal segments, a posterior shift in the position of the pronephros, and alterations in the expression boundaries of raldh2 and cyp26a1, which encode enzymes that synthesize and degrade RA, respectively. These results suggest that the cdx genes act to localize the activity of RA along the axis, thereby determining where the pronephros forms. Consistent with this, the pronephric-positioning defect and the loss of distal tubule fate were rescued in embryos doubly-deficient for cdx and RA. These findings reveal a novel link between the RA and cdx pathways and provide a model for how pronephric nephrons are segmented and positioned along the embryonic axis.
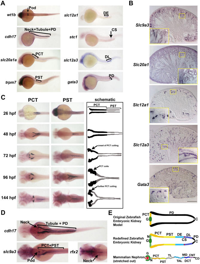
Figure 1. The Zebrafish Pronephric Nephrons Consist of Multiple Tubule Segments Similar to Metanephric Nephrons(A) Whole-mount in situ hybridization of wild-type embryos shows segmentation of each pronephric nephron into podocytes (Pod), neck (N), proximal convoluted tubule (PCT), proximal straight tubule (PST), distal early (DE), corpuscle of Stannius (CS), distal late (DL), and pronephric duct (PD) that fuse to the cloaca (C) (not shown). Lateral views are shown except for dorsal view in top left panel, with anterior to the left.(B) Murine section in situ hybridzation of solute transporters, bar denotes 500 μm.(C) Time course of PCT convolution and adjacent PST, with slc20a1a expression used to label the PCT at all stages, PST labeled by trpm7 expression at 26 hpf, and slc13a1 expression at 48–144 hpf.(D) Expression of cdh17, slc9a3, and rfx2 at 48 hpf in distinct segments of the pronephros. Note expression of rfx2 in the presumptive ciliated neck segment. (C and D) Dorsal views are shown, with anterior to the left.(E) Schema of the original model of the 48 hpf zebrafish pronephros (top), our redefined model showing segmentation of each nephrons (middle), and a mammalian nephron stretched out to compare segmentation of the metanephric nephron (bottom). Mammalian segments are color coded according to observations of shared solute transporter expressions with respective zebrafish pronephros segments. Additional abbreviations are: G (glomerulus), N (neck), TL (thin limb), TAL (thick ascending limb), MD (macula densa), DCT (distal convoluted tubule), CNT (connecting tubule), and CD (collecting duct).
Figure 2. Pronephros Expression of Known Renal Genes and Solute Transporters Isolated Using Functional GenomicsThe domain of each pronephros-expressed gene was mapped along the embryonic axis according to somite boundaries, using double in situ hybridization with mhc to label the myotomes. Solid color bars indicate strong expression, light color bars indicate weak expression, and blue/black stripe bars indicate overlap in the expression domains of DL and PD markers; note that rfx2 expression at 48 hpf is discontinuous in the PST and DE domains. Schematic anatomy of the pronephros at 24 hpf (top, left) compared to 48 hpf (top, right). The cloaca (C) is not considered a segment of the pronephros, but is shown to depict the terminus of the pronephros.
Figure 3. RA Signaling Is Required for Proximal Segment Fates and to Prevent the Expansion of Distal Segment Fates(A) Expression of segment markers and mhc at 48 hpf in wild-type embryos and raldh2 morphants, and wild-type embryos that were incubated with either DMSO (control) or DEAB for indicated times during development, by double whole-mount in situ hybridization. Brackets and arrows indicate expression domains. Abbreviations are: %e (percent epiboly), s (somite stage). Dorsal views are shown, with anterior to the left, with the exception of lateral views for gata3 and aqp3 expression.(B) Summary of nephron segmentation with respect to embryo somite number for each DEAB treatment.
Figure 4. Exogenous RA Treatment Proximalizes the Pronephros(A) Expression of segment markers and mhc at 24 hpf in wild-type embryos incubated with either DMSO (control) or RA at the indicated dosage and times during development, by double whole-mount in situ hybridization. Brackets and arrows indicate expression domains. Abbreviations are: %e (percent epiboly), s (somite stage). Dorsal views are shown, with anterior to the left, with the exception of lateral views for gata3 expression.(B) Summary of nephron segmentation with respect to embryo somite number for each RA experiment.
Figure 5. cdx Genes Position the Pronephros along the Embryonic Axis and Are Requisite for Distal Segment FormationExpression of segment markers was performed on wild-type, cdx4–/– mutants, and cdx-deficient embryos at (A) 26 hpf and (B) 48 hpf using whole-mount in situ hybridization. Brackets and arrows indicate expression domains in each embryo. Numbers indicate somite number. Dorsal views of embryos, with anterior to the left, with the exception of lateral views for gata3 and aqp3 expression. (C) Live wild-type, cdx4–/– mutants, and cdx-deficient embryos at 72 hpf. Arrowhead indicates glomerular cyst in the cdx-deficient embryo. Lateral views are shown, with anterior to the left. (D) Summary of nephron segmentation in cdx4–/– mutants and cdx-deficient embryos as compared to wild-type at 48 hpf. Numbers indicate anterior somite boundary of each pronephros.
Figure 6. cdx Genes Regulate the Expression Boundaries of raldh2 and cyp26a1(A) Expression of raldh2 and cyp26a1 in wild-type, cdx4–/– mutants, and cdx-deficient embryos by whole-mount in situ hybridization. Brackets indicate raldh2 and cyp26a1 expression domains in the anterior paraxial mesoderm of 5 somite stage embryos. Right column is an overlay of the raldh2 and cyp26a1 expression patterns, arrows indicate the anterior boundary of the presumptive RA source.(B) Double whole-mount in situ hybridization showing co-staining of krox20, myoD, raldh2, and cyp26a1 at 10 somites in wild-type, cdx4–/– mutants, and cdx-deficient embryos (gene names are color-coded to match their staining product). Brackets and numbers indicate raldh2 and cyp26a1 expression domains and somite position, respectively
Figure 7. Blocking RA Production in cdx Mutants Partially Rescues Pronephros Position and Distal Segment Formation(A–C) Expression of cdh17, slc20a1a, and slc12a1 at 48 hpf in wild-type, cdx4–/– mutants, and cdx-deficient embryos that were treated with DMSO (control) or DEAB from 90% epiboly to the 5 somite stage. Lines and numbers indicate expression domains and somite position, respectively. Arrows indicate podocyte and CS positions. Dorsal views are shown, with anterior to the left. Insets show enlarged dorsal views of podocyte (asterisk marks cystic glomeruli which stain weakly) and DL segment staining.
Figure 8. Model for How the cdx Genes and RA Establish Pronephros Position and Segmentation(A) At the end of gastrulation, the IM is located lateral to the PM. The production of RA in the PM is localized to the anterior-most region (purple). RA is proposed to diffuse as a gradient across to the adjacent IM such that the anterior IM is exposed to high RA levels, which induce proximal fates and suppress expansion of distal fates.(B) In wild-type embryos, cdx1a and cdx4 set the expression boundaries of raldh2 (and potentially other putative raldh-like genes, 'raldhX') and cyp26a1, thereby restricting RA production to the anterior PM. The absence of cdx4 function (C) and cdx1a/4 function (D) causes posterior shifts in the RA source, due to the combined posterior shifts of both the raldh2 and cyp26a1 expression domains. These shifts in the presumptive RA zone lead to pronephros formation at a more posterior location, and an expansion of anterior intermediate mesodermal fates (indicated by an asterisk). In cdx1a/4-deficient embryos, the posterior shift of the pronephros, together with the body truncation, results in an abrogation of distal nephron segments.
Anzenberger,
Elucidation of megalin/LRP2-dependent endocytic transport processes in the larval zebrafish pronephros.
2006, Pubmed,
Xenbase
Anzenberger,
Elucidation of megalin/LRP2-dependent endocytic transport processes in the larval zebrafish pronephros.
2006,
Pubmed
,
Xenbase
Batourina,
Vitamin A controls epithelial/mesenchymal interactions through Ret expression.
2001,
Pubmed
Begemann,
Beyond the neckless phenotype: influence of reduced retinoic acid signaling on motor neuron development in the zebrafish hindbrain.
2004,
Pubmed
Begemann,
The zebrafish neckless mutation reveals a requirement for raldh2 in mesodermal signals that pattern the hindbrain.
2001,
Pubmed
Bel-Vialar,
Initiating Hox gene expression: in the early chick neural tube differential sensitivity to FGF and RA signaling subdivides the HoxB genes in two distinct groups.
2002,
Pubmed
,
Xenbase
Biemesderfer,
NHE3: a Na+/H+ exchanger isoform of renal brush border.
1993,
Pubmed
Blentic,
Retinoic acid signalling centres in the avian embryo identified by sites of expression of synthesising and catabolising enzymes.
2003,
Pubmed
Bollig,
Identification and comparative expression analysis of a second wt1 gene in zebrafish.
2006,
Pubmed
Camp,
Expression of three spalt (sal) gene homologues in zebrafish embryos.
2003,
Pubmed
,
Xenbase
Cartry,
Retinoic acid signalling is required for specification of pronephric cell fate.
2006,
Pubmed
,
Xenbase
Chan,
Growing kidney in the frog.
2006,
Pubmed
,
Xenbase
Chawengsaksophak,
Homeosis and intestinal tumours in Cdx2 mutant mice.
1997,
Pubmed
Chawengsaksophak,
Cdx2 is essential for axial elongation in mouse development.
2004,
Pubmed
Chen,
Molecular and functional analysis of SDCT2, a novel rat sodium-dependent dicarboxylate transporter.
1999,
Pubmed
,
Xenbase
Cheng,
Notch2, but not Notch1, is required for proximal fate acquisition in the mammalian nephron.
2007,
Pubmed
Costantini,
Renal branching morphogenesis: concepts, questions, and recent advances.
2006,
Pubmed
Costaridis,
Endogenous retinoids in the zebrafish embryo and adult.
1996,
Pubmed
,
Xenbase
Davidson,
The caudal-related homeobox genes cdx1a and cdx4 act redundantly to regulate hox gene expression and the formation of putative hematopoietic stem cells during zebrafish embryogenesis.
2006,
Pubmed
Davidson,
cdx4 mutants fail to specify blood progenitors and can be rescued by multiple hox genes.
2003,
Pubmed
Deschamps,
Developmental regulation of the Hox genes during axial morphogenesis in the mouse.
2005,
Pubmed
Dressler,
The cellular basis of kidney development.
2006,
Pubmed
,
Xenbase
Drummond,
Early development of the zebrafish pronephros and analysis of mutations affecting pronephric function.
1998,
Pubmed
Drummond,
Making a zebrafish kidney: a tale of two tubes.
2003,
Pubmed
Dubruille,
Drosophila regulatory factor X is necessary for ciliated sensory neuron differentiation.
2002,
Pubmed
Dubrulle,
Coupling segmentation to axis formation.
2004,
Pubmed
Duester,
Families of retinoid dehydrogenases regulating vitamin A function: production of visual pigment and retinoic acid.
2000,
Pubmed
Elizondo,
Defective skeletogenesis with kidney stone formation in dwarf zebrafish mutant for trpm7.
2005,
Pubmed
Gavalas,
Retinoid signalling and hindbrain patterning.
2000,
Pubmed
George,
Embryonic expression and cloning of the murine GATA-3 gene.
1994,
Pubmed
Gibert,
Induction and prepatterning of the zebrafish pectoral fin bud requires axial retinoic acid signaling.
2006,
Pubmed
Gilbert,
Retinoids and nephron mass control.
2000,
Pubmed
Gilbert,
Vitamin A and kidney development.
2002,
Pubmed
Glover,
Retinoic acid and hindbrain patterning.
2006,
Pubmed
Grandel,
Retinoic acid signalling in the zebrafish embryo is necessary during pre-segmentation stages to pattern the anterior-posterior axis of the CNS and to induce a pectoral fin bud.
2002,
Pubmed
Hernandez,
Cyp26 enzymes generate the retinoic acid response pattern necessary for hindbrain development.
2007,
Pubmed
Horsfield,
Cadherin-17 is required to maintain pronephric duct integrity during zebrafish development.
2002,
Pubmed
Kaneko,
Embryonic origin and development of the corpuscles of Stannius in chum salmon (Oncorhynchus keta).
1992,
Pubmed
Keegan,
Retinoic acid signaling restricts the cardiac progenitor pool.
2005,
Pubmed
Kimmel,
Stages of embryonic development of the zebrafish.
1995,
Pubmed
,
Xenbase
Kramer-Zucker,
Cilia-driven fluid flow in the zebrafish pronephros, brain and Kupffer's vesicle is required for normal organogenesis.
2005,
Pubmed
Krumlauf,
Hox genes in vertebrate development.
1994,
Pubmed
Lakshmanan,
Localization of distant urogenital system-, central nervous system-, and endocardium-specific transcriptional regulatory elements in the GATA-3 locus.
1999,
Pubmed
Lechner,
The molecular basis of embryonic kidney development.
1997,
Pubmed
Lipton,
Mating worms and the cystic kidney: Caenorhabditis elegans as a model for renal disease.
2005,
Pubmed
Liu,
Notch signaling controls the differentiation of transporting epithelia and multiciliated cells in the zebrafish pronephros.
2007,
Pubmed
Lohnes,
The Cdx1 homeodomain protein: an integrator of posterior signaling in the mouse.
2003,
Pubmed
Lorent,
Inhibition of Jagged-mediated Notch signaling disrupts zebrafish biliary development and generates multi-organ defects compatible with an Alagille syndrome phenocopy.
2004,
Pubmed
Lun,
A series of no isthmus (noi) alleles of the zebrafish pax2.1 gene reveals multiple signaling events in development of the midbrain-hindbrain boundary.
1998,
Pubmed
Ma,
Jagged2a-notch signaling mediates cell fate choice in the zebrafish pronephric duct.
2007,
Pubmed
Majumdar,
The zebrafish floating head mutant demonstrates podocytes play an important role in directing glomerular differentiation.
2000,
Pubmed
Marlier,
Expression of retinoic acid-synthesizing and -metabolizing enzymes during nephrogenesis in the rat.
2004,
Pubmed
Moriya,
Induction of Pronephric Tubules by Activin and Retinoic Acid in Presumptive Ectoderm of Xenopus laevis: (RA/kidney/mesoderm induction/Xenopus laevis).
1993,
Pubmed
,
Xenbase
Neave,
Expression of zebrafish GATA 3 (gta3) during gastrulation and neurulation suggests a role in the specification of cell fate.
1995,
Pubmed
Nichane,
The Na+/PO4 cotransporter SLC20A1 gene labels distinct restricted subdomains of the developing pronephros in Xenopus and zebrafish embryos.
2006,
Pubmed
,
Xenbase
Nielsen,
Ultrastructural localization of Na-K-2Cl cotransporter in thick ascending limb and macula densa of rat kidney.
1998,
Pubmed
Perz-Edwards,
Retinoic acid-mediated gene expression in transgenic reporter zebrafish.
2001,
Pubmed
Reilly,
Mammalian distal tubule: physiology, pathophysiology, and molecular anatomy.
2000,
Pubmed
Reimschuessel,
A fish model of renal regeneration and development.
2001,
Pubmed
Ross,
Retinoids in embryonal development.
2000,
Pubmed
Russo,
Inhibition of mouse cytosolic aldehyde dehydrogenase by 4-(diethylamino)benzaldehyde.
1988,
Pubmed
Sch0nheyder,
Ultrastructure of a specialized neck region in the rabbit nephron.
1975,
Pubmed
Schmitt,
Developmental expression of sodium entry pathways in rat nephron.
1999,
Pubmed
Serluca,
Pre-pattern in the pronephric kidney field of zebrafish.
2001,
Pubmed
Shimizu,
Interaction of Wnt and caudal-related genes in zebrafish posterior body formation.
2005,
Pubmed
Shimizu,
Cdx-Hox code controls competence for responding to Fgfs and retinoic acid in zebrafish neural tissue.
2006,
Pubmed
Shmukler,
Zebrafish slc4a2/ae2 anion exchanger: cDNA cloning, mapping, functional characterization, and localization.
2005,
Pubmed
,
Xenbase
Sirbu,
Shifting boundaries of retinoic acid activity control hindbrain segmental gene expression.
2005,
Pubmed
Skromne,
Repression of the hindbrain developmental program by Cdx factors is required for the specification of the vertebrate spinal cord.
2007,
Pubmed
Song,
Hematopoietic gene expression profile in zebrafish kidney marrow.
2004,
Pubmed
Stafford,
Retinoids signal directly to zebrafish endoderm to specify insulin-expressing beta-cells.
2006,
Pubmed
Stafford,
Retinoic acid signaling is required for a critical early step in zebrafish pancreatic development.
2002,
Pubmed
Tena,
Odd-skipped genes encode repressors that control kidney development.
2007,
Pubmed
,
Xenbase
Topczewska,
The winged helix transcription factor Foxc1a is essential for somitogenesis in zebrafish.
2001,
Pubmed
Tryggvason,
How does the kidney filter plasma?
2005,
Pubmed
Van Campenhout,
Evi1 is specifically expressed in the distal tubule and duct of the Xenopus pronephros and plays a role in its formation.
2006,
Pubmed
,
Xenbase
van den Akker,
Cdx1 and Cdx2 have overlapping functions in anteroposterior patterning and posterior axis elongation.
2002,
Pubmed
van Nes,
The Cdx4 mutation affects axial development and reveals an essential role of Cdx genes in the ontogenesis of the placental labyrinth in mice.
2006,
Pubmed
Vize,
Model systems for the study of kidney development: use of the pronephros in the analysis of organ induction and patterning.
1997,
Pubmed
,
Xenbase
Yu,
Recent genetic studies of mouse kidney development.
2004,
Pubmed
Zecchin,
Expression analysis of jagged genes in zebrafish embryos.
2005,
Pubmed
Zhou,
Proximo-distal specialization of epithelial transport processes within the Xenopus pronephric kidney tubules.
2004,
Pubmed
,
Xenbase