Click here to close
Hello! We notice that you are using Internet Explorer, which is not supported by Xenbase and may cause the site to display incorrectly.
We suggest using a current version of Chrome,
FireFox, or Safari.
???displayArticle.abstract??? Limb regeneration in amphibians is a representative process of epimorphosis. This type of organ regeneration, in which a mass of undifferentiated cells referred to as the "blastema" proliferate to restore the lost part of the amputated organ, is distinct from morphallaxis as observed, for instance, in Hydra, in which rearrangement of pre-existing cells and tissues mainly contribute to regeneration. In contrast to complete limb regeneration in urodele amphibians, limb regeneration in Xenopus, an anuran amphibian, is restricted. In this review of some aspects regarding adult limb regeneration in Xenopus laevis, we suggest that limb regeneration in adult Xenopus, which is pattern/tissue deficient, also represents epimorphosis.
FIGURE 1. Limb regeneration in the urodele and X. laevis froglet. (A) A schematic representation of the process of limb regeneration in the urodele showing that the process can be divided into several overlapping steps. See text for details. (B) Spike formation in the X. laevis froglet forelimb. The rightforelimb of a froglet (1.5-2 cm at snout-to-vent length) was amputated through the distalzeugopodium (indicated by a white line), and the amputation surface was trimmed to be flat. The animal was kept at 23-24dC in dechlorinated tap water. Photographs show the intact limb before amputation and the stump at 0, 7, 10, 14, 21, 28 days after amputation (left to right).
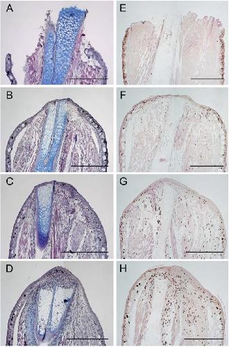
FIGURE 2. Histological observations of early limbblastema in the Xenopus froglet. Longitudinal sections of the froglet forelimb stumps were stained with hematoxylin, eosin and Alcian blue (A-D) or with anti-BrdU antibody and DAB (brown) after incorporation of BrdU for 1 h (E-H). (A,E) 0 days, (B,F) 1 day, (C,G) 2 days, (D,H) 4 days after amputation. Specimens were fixed in Bouins fixative, embedded in paraffin, and sectioned at a thickness of 6 μm. The procedures for the BrdU treatment and immunohistochemistry were essentially the same as that of Suzuki et al.[37]. Scale bars = 400 μm.
FIGURE 3. A ventral view of the rightforelimbblastema of an N-tubulin promoter/GFP transgenic X. laevis froglet at 14 days after amputation. N-tubulin promoter directs reporter gene expression to the neurons[81], and it is noted that numerous GFP-expressing axons are distributed in the blastema. The right panel is a brightfield image of the left panel. Transgenesis was conducted following the procedure described by Kroll and Amaya[81], and the plasmid for transgenesis (N-tubulin promoter/GFP: NBTG) was a kind gift from Enrique Amaya (Gurdon Institute, Cambridge, U.K.)[81,82,83].
FIGURE 4. Schematic representations showing expression pattern of regulatory genes important for pattern formation along three axis (A�P, anterior-posterior; D�V, dorsal-ventral; P�D, proximal-distal) in the tadpolelimb bud and froglet blastema. Shh (purple) is expressed in the posterior margin of the limb budmesenchyme (ZPA). Lmx1 (green) is expressed in the dorsal mesenchyme of the limb bud. However, neither of these genes is expressed in the froglet blastema. On the other hand, Hoxa13 (blue) is expressed in the distal region of both the limb bud and froglet blastema.