|
Fig. 1. Surgical operation for retinectomy of Xenopus eye. (A) An incision was made along the dorsal boundary of the iris (yellow arrows). The retinal vascular membrane (RVM) is visible on the whitish retinal tissue. White arrow indicates blood vessels of the RVM. C: cornea. (B) For surgical retinectomy, RVM was turned out towards the lens. Immediately after removal of the retinal tissue, the RVM was put back again to the ocular cavity as shown in B. Arrowheads deliminate the peripheral edge of RVM and asterisks indicate blood cell clusters. Scale bar is 500 μm.
|
|
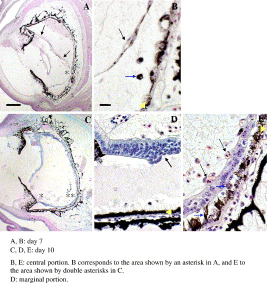
Fig. 2. An early stage of retinal regeneration in X. laevis eyes (3 months after metamorphosis). All images in this figure and in Fig. 3, Fig. 4, Fig. 5, Fig. 6, Fig. 7, Fig. 8, Fig. 9 and Fig. 10 are illustrated and placed in the same direction: the anterior (corneal) of the eye at the left and the posterior (scleral) at the right. The dorsal is at the upper. (A, B) Day 7 and (C, D, E) Day 10 after retinectomy. The area indicated by asterisk in (A) is shown in (B) at a higher magnification. Arrows indicate RVM (retinal vascular membrane). (B) Black arrow indicates RVM where pigmented cells form an epithelial monolayer sheet. Blue arrow indicates single pigmented cell located between the retinal pigmented epithelium (RPE) (indicated by yellow arrowhead) and the RVM. (C) The areas indicated by a single and by double asterisks in (C) are shown in (D) and (E) at a higher magnification, respectively. (D) shows regenerating retina (arrow) at the marginal zone, continuous to the iris epithelium. Yellow-colored arrowhead indicates the RPE layer. (E) shows regenerating retina on the RVM located more posteriorly. Black arrows indicate capillaries on RVM and blue arrows indicate pigmented cells located in a narrow space between the newly formed epithelium and RPE layer (yellow arrowhead). A pigmented cell (indicated by the lower left blue arrow) extends from RPE layer to the regenerating epithelium. Scale bar in A is 200 μm and is applied to C. Scale bar in B is 10 μm and is applied to D and E.
|
|
Fig. 3. Laminin and RPE65 distribution in regenerating retinas at Day 10 after retinectomy. (A) Normal Xenopus retina stained with hematoxylin and eosin. Two arrows indicate RVM (retinal vascular membrane) and Bruch's membrane. Both membrane structures are clearly immunoreactive for laminin as indicated by arrows in (B). (C, D, E) Retinectomized eye at Day 10. RPE65, laminin and Nomarsky differential image of the same area at the central (posterior) part of the eye. Arrows and arrowheads indicate the newly formed pigmented epithelium and the original RPE layer, respectively. Both layers are positively stained for RPE65 and laminin. Scale bars in A and B are 30 μm, and bar in C is 20 μm.
|
|
Fig. 4. Later stage of retinal regeneration in X. laevis eyes (4 to 5 months after metamorphosis). (A) Day 15, (B, C) Day 20, (D) Day 40 and (E) Day 30 after retinectomy. (A) By Day 15, lens structures are well recognized with intense eosin staining. Regenerating retinas (arrows) are still thin and are separated from RPE layer. (B) By Day 20, the laminar structure of the regenerating retina is partially developed at the periphery (arrow). The area indicated by asterisk is shown in (C) at a higher magnification. (C) A few RPE cells are found in the space between RPE layer and the retinal epithelium as shown by blue arrows. Some cells extend from RPE layer to the retinal layer (indicated by lower blue arrow). Blue-colored arrowheads indicate pigmented cells attached to the retinal layer. (D) By Day 40 a well-stratified retinal structure develops as shown by an arrow. (E) In some cases neither the retina nor lens regenerates, the eye cavity being occluded by connective tissue derived from the choroid tissue. (F, G) Laminar structure of the regenerating retina at Day 30 is well identified with acetylated tubulin staining. Arrows indicate immunoreactive ganglion cell bodies. G is a Nomarsky differential image of the same area. Scale bar in A is 200 μm and is applied to B, D, E. Scale bars in C and F are 20 μm.
|
|
Fig. 5. RPE65 and Pax6 immunocytochemistry in the regenerating retina at Day 10 after retinectomy. (A, B) Pax6 staining and Nomarsky differential image of normal Xenopus retina. Arrows indicate two layers of positively stained ganglion and amacrine cells. (C, D, E, F) A newly formed pigmented layer (asterisk) and the original RPE layer (arrowhead) at Day 10 after retinectomy. Pigmented cells in both layers are mostly doubly stained for RPE65 and Pax6, as shown by arrows. Scale bars in A and C are 50 μm and 20 μm, respectively.
|
|
Fig. 6. Detection of proliferating cells by BrdU labeling and PCNA staining at Day 10 after retinectomy. (A, B) At the peripheral area close to the iris, numerous cells in a thick epithelial layer (arrowhead), probably derived from the ciliary marginal cells, are intensely stained for BrdU. A few cell nuclei in the RPE layer are also stained (arrows). B shows Nomarsky differential image of A. (C, D, E) At the central area, pigmented cells in a newly formed epithelium are stained for BrdU (arrows in C, D and E). D is an overlaid image of C and E. (F, G, H) Cells in the pigmented layer of the central area are also stained for PCNA. Nuclei of pigmented cells are positively reacted for PCNA (arrows). Arrowheads indicate RPE layer. G is an overlaid image of F and H. Scale bar in A is 20 μm. Bar in C is 20 μm and applied to F.
|
|
Fig. 7. Organotypic cultures of the RPE with attached choroid. RPE sheet with choroid was cultured on a filter membrane. (A) Day 6 in vitro (B, C, D, E) Day 30 in vitro. RPE cells begin to migrate out onto the filter membrane by Day 6, where they start to depigment and transform into fiber-like cells with long branching processes. (D, E) shows a culture stained with anti-acetylated tubulin. Scale bar in A is 50 μm and is applied to B, C, D. Bar in E is 10 μm.
|
|
Fig. 8. Organotypic cultures of isolated RPE on Day 3 (A, D) and on Day 30 (B, C, E, F). RPE sheet was separated from the choroid and cultured on a filter membrane. (A, B, C) show cultures without FGF-2 and IGF-1, and (D, E, F) show cultures with both factors. (C, F) show BrdU labeling and (E) shows acetylated tubulin staining. In control cultures (A, B), RPE cells proliferated but remained mostly pigmented, while addition of FGF-2 and IGF-1 induces RPE cells to proliferate, depigment and differentiate into neural cells, as shown by acetylated tubulin immunocytochemistry (E). Arrows in B indicate the peripheral edge of the epithelial sheet. Scale bar in A is 20 μm and is applied to D. Scale bar in B is 30 μm and is applied to C, E, F.
|
|
Fig. 9. Immunocytochemical detection of crystalline in regenerating lens in X. laevis eyes (4 months after metamorphosis). After lentectomy lens capsule-like structures are observed to adhere to the iris portion (arrows in A, D). (B, C) By Day 5 after lentectomy, some cells in the capsule are already positively stained with an antibody specific for newt lens. The stained cells are always located at the posterior side (B). (E, F) By Day 10 more cells are stained for crystalline. (G, H) By Day 20, the lens structure grows and shows a cuboidal shape. Lens fiber cells are stained intensely, while lens epithelium is devoid of staining. Scale bar in A is 200 μm and is applied to D, G. Scale bar in B is 50 μm and is applied to E. Scale bar in C is 100 μm and is applied to F, H.
|
|
Fig. 10. Schematic diagram of retinal regeneration in X. laevis. The upper part in (A) shows retinectomized eye cavity, and the lower shows intact one. Cells from two origins regenerate the retina; ciliary marginal cells and the retinal pigmented epithelial cells. The CMZ (ciliary marginal zone) partially remains after retinectomy with the present surgical procedure, and CMZ stem cells initiate migration on the RVM (retinal vascular membrane) to the posterior direction. (B) At the same time, some of RPE cells leave RPE layer, migrate and attach to the RVM, where they form a new RPE layer as indicated in (C). Numerous capillaries (indicated as C) are seen in RVM. RPE cells on the RVM proliferate and transdifferentiate to neural retinal precursor cells (D, E). RPE cells that were positively stained for RPE65 are shown by brown-colored nuclei or pigmented granules in the cytoplasm.
|