|
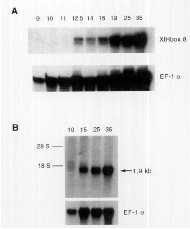
FIG. 1. Developmental expression of XlHbox 8. (A) RNase protection
analysis of total RNA hom whole Xenopus embryos of stages
9 (late blastula), 10 !initial gastrula}, ll (mid-gastrula!, 12.5 /initial
neural plate!, 14 (neural plate), 16 (neural fold), 19jneural tube), 25
(tailbudJ, and 35 (tadpole). The upper bands represent the protected
225-bp XlHbox 8 fragment, with I 5 embryo-equivalents of total
RNA per reaction. The lower bands represent protected fragments
for EF-1 a, using one embryo-equivalent of RNA per reaction. EF-
1 a in this and subsequent figures is a control for RNA loading and
integrity. {EI Northern analysis of RNA from stage lO, 15, 25, and
35 Xenopus embryos. 3 .ug of poly(A)+ RNA was loaded per lane.
The same filter was stripped and reprobed with EF-1 a (lower band!.
The locations of 285 and ISS rRNAs are marked.
|
|
FIG. 2. Colocalization of XlHbox 8 and islet hormones in adult frog pancreas. Sections of frog pancreas were immunostained with XlHbox
8 antibody, detected using alkaline phosphatase·linked secondary antibody {A, C, E), and then immunostained with hormone antibodies
detected with fluorescently labeled secondary antibody (B, D, F). Arrowheads indicate representative cells coexpressing XlHbox 8 and
hormone. (A, Bl XlHbox 8 :md insulin colocalization in an islet cell cluster. (C, Dl XlHbox 8 and glucagon colocalization near the pancreatic
duct. IE, F) XlHbox 8 and somatostatin co\ocalization in an endocrine cell cluster. 500 cells positive for each hormone were scored for
nuclear XlHbox 8. Bar, 50 .urn.
|
|
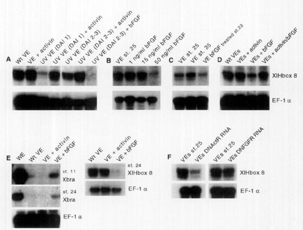
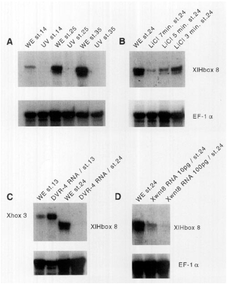
FIG. 3. Expression of XlHbox 8 in embryos treated with agents
that alter embryonic patterning. Input RNA for all hybridization
reactions was 15 embryos for XlHbox 8 and 1 embryo for E.F-1 a.
(AJ Embryos were ventralized by UV irradiation be.fore first cleavage
and assayed with untreated siblings /WE} at stages 14, 25, and 35
for XlHbox 8 RNA by RNase protection. DAis of embryos used in
this experiment ranged from 0-l. jB) Embryos were dorsalized by
incubating 32- to 64-cell embryos in 0.2 M LiCl for 3 min IDAI 6-
7), 5 min (DAI 8), or 7 min [DAllO). Treated embryos and controls
were assayed at stage 24. !CI Embryos were injected at the 1-cell
stage with BMP-4/DVR-4 RNA. XlHbox 8 was assayed at stage 24.
As a control for the efficiency of the BMP-4 effect, 5 injected and
5 uninjected (WE.) embryos were assayed for Xhox 3 at stage 13.
Xhox 3 mRNA is upregulated in embryos overexpressing BMP-4
(Jones et a!, 1992}. (DJ Embryos were injected at the 1-ceJl stage
with 10 or 100 pg of Xwnt-8 RNA and assayed at stage 24.
|
|
FIG. 4. RNase protection analysis of XIHbox 8 expression in embryos
injected with the dominant negative activin or FGF receptor
RNAs. (AI Two-cell embryos were injected into each cell with 2
ng of dominant negative activin receptor RNA jDNActRI and whole
embryos (\\'E) processed at sibling stages 11, 14, and 25. As a control
for the proper phenotype, two injected and two control uninjected
embryos were assayed for expression of Xbra. [B} Embryos were
injected at the 2-celJ stage with 2 x 2 ng of dominant negative FGF
receptor IDNFCFR) mRNA and processed at sibling stages 14, 22,
and 25. As a control for the proper phenotype, one injected or one
control embryo was assayed for expression of muscle-specific actin
{ms-actin). In [A) and (B), RNA from 15 whole embryos IWE) was
used in each X}Hbox 8 hybridization.
|
|
FIG. 5. Autonomous expression of XlHbox 8 in vegetal pole explants
(VEs). [A) Embryos were dissected into animal cap (AC] and
vegetal pole lVE) pieces at stage 8 and assayed with whole embryos
(WE} for XlHbox 8 RNA at stage 2.5. Thirty-five animal caps or VEs
or 15 WEs were used per hybridization. (B) VE.s were isolated from
stage 8 embryos. Total RNA from 2.5 explants was isolated when
siblings reached stages 14, 25, and 35 and used in RNase protection
analysis. (C) VEs were explanted from stage 8 embryos and cultured
until siblings reached stage 25. Twenty-five explants were assayed
for muscle-specific actin, Xbra, or XlHbox 8 expression using
RNase protection analysis. For comparison o{ relat ive levels of actin
expression, RNA from 5, l, or 0.2 whole embryos was assayed.
Cytoskeletal actin [lower band) shows the relative level of RNA
per sample. For comparison of relative levels of Xbra and X!Hbox
8, RNA from 5 and IS embryos, respectively, was assayed. {D)
Whole-mount immunostaining of VEs for XJHbox 8. VEs were isolated
from stage 8 embryos and immunostained at sibling stage 35.
We infer that XlHbox 8 is expressed in an area in the dorsal side
(d) of the e}._"Plants (bracketed} based on the data shown in E. Scale
bar, 300 JliTI. (E) At the 4-cell stage embryos were marked on the
ventral side. At stage 8, VEs were dissected into dorsal or ventral
halves, cultured until siblings reached stage 35, and immunostained
with XIHbox 8 antibody. Dorsal VEs expressed XlHbox 8
protein over much of their surface, whereas ventral VEs remained
unstained (n = 30 dorsal-ventral explants). Endogenous melanin
pigmentation is visible in some ventral explants.
|
|
FIG. o. Growth factor effects on vegetal pole explants /YEs). For XlHbox B hybridizations, 2$ vegetal explants (YEs) or 15 whole
embryos (WEs) were used. Two VEs or 1 WE were used in EF-1 a hybridiz.ations. Growth fact<Jr was present for the entire culture period
except in (DI. (A) Fertilized embryos were irradiated with UV light for 45 sec (resulting in sibling DAI l l or 30 sec I resulting in sibling
DAJ 2- 3), and VEs were isolated at stage 8. The explants were cultured alone or with 20 ng/ml activin, or SO ng/ml bFGF, until sibling
stage 25. (B) VEs were isolated at stage 8 and treated with increasing doses of bFGF (1, 15, 50 ng/mll. Explants were assayed at sibling
stage 25. ICI VEs were isolated at stage 8. In Janes 1 and 2, explants were cultured alone and collected when siblings reached stage 25
or 35. In lane 3, VEs were treated with SO ngfml FGF at stage 23 and then collected at stage 35 for RNase protection analysis. IDl VEs
were isolated at stage 8 and either cultured alone (lane 1) or with growth factors. In Jane 2 VEs were cultured with 20 ng/m] activin
alone, in lane 3 with 50 ng{ml bFGF alone, and in lane 4 with 2G ngjm\ activin and SG ng/ml bFGF. VEs wete assayed at sibling stage
25. (EJ VEs were isolated at stage 8 and treated with growth factors (activin 50 ng/ml and FGF 50 ng/ml}. Twenty-five YEs were assayed
for Xbw at stages 11 and 24 and for XlHbox Bat stage 24. Ten stage 11 or 24 embryos were used as positive controls (lane 1). In a few
experiments, a very small amount of residual Xbra transcript was detected in untreated VEs, which is probably due to expression by
cells at the marginalfendodermal boundary. However, in these cases, activin completely removes Xbra from these VEs {lane 3]. (F) VEs
were dissected from unjnjected embryos and from DNActR- or DNFGFR-injected embryos 14 ng total, same as in Fig. 4] at stage 8-9
and assayed at stage 25 for XlHbox 8.
|
|
FIG. 7. Vegetal pole explants overexpressing Xwnt-8 have elevated levels of XIHbox 8. IAJ Embryos were injected at the 1-cell stage with
LO or lOO pg of Xwnt-8 RNA. At stage 8, 25 VEs were isolated from control and injected embryos, culture<l until sibling stage 25, and
then assayed for XlHbox 8. IBl One-cell nonalbino embryos were injected with 100 pg of Xwnt-8 mRNA and VEs were isolated at stage
8. Injected VEs were fixed at stage 35 for whole-mount immunostaining with XlHhox 8 antibody. Xwnt-8-injected VEs expressed more
XlHbox 8 protein over a broader domain than controls (compare with C). ICI Control, uninjected VEs immunostained with XlHbox 8
antibody. Asterisks indicate local areas of extracellular nonspecific background separate from the nuclear XlHbox 8 staining. Scale bar,
300 #ill.
|
|
FIG. 8. Animals caps treated with activin express XIHbox 8. Animal
caps were isolated from stage 8 embryos and cultured in 0.75x
NAM alone or in 0.75x NAM with 20 or 50 ng/ml activin or 50
ngfml bFGF. Fifty animal caps from each treatment were collected
when siblings reached stage 35 and processed for RNase protection
analysis. The arrowhead indicates the very low levels of XlHbox 8
RNA induced by 20 ng/ml activin. Two animal caps were used in
EF-1 a hybridizations .
|