ECB-ART-54686
BMC Zool
2026 Feb 03;111:6. doi: 10.1186/s40850-026-00256-4.
Show Gene links
Show Anatomy links
Reproductive pattern and biochemical composition of the sea urchin, Paracentrotus lividus (Lamarck, 1816) in west Aegean Sea-Türkiye.
???displayArticle.abstract???
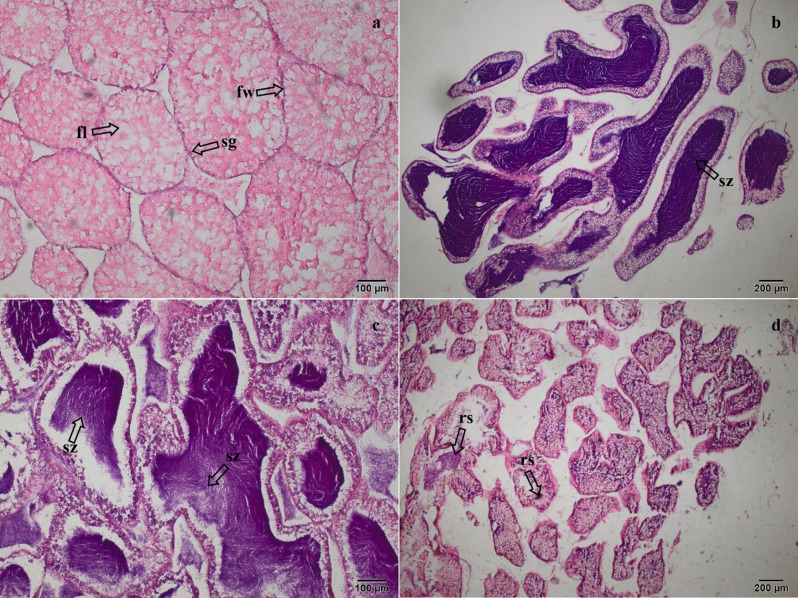
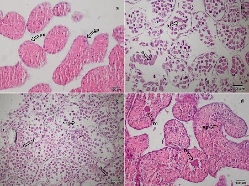
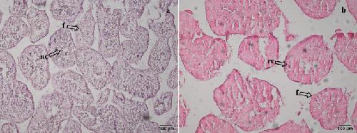
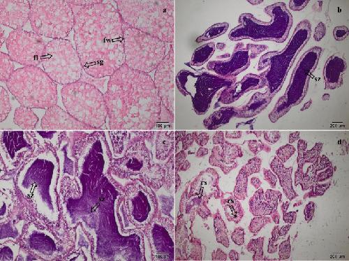
This study focuses on the annual reproductive cycle and biochemical of Paracentrotus lividus (Lamarck, 1816). Sixty sea urchins were collected monthly from July 2018 to June 2019 in Karaburun, Aegean Sea. The reproductive cycle was divided into six stages, with mature gonads observed in October-November and February-March, coinciding with spawning. Despite a decrease in gonadosomatic index, the gut index remained relatively stable, indicating sufficient environmental food. The reduced gonadosomatic index suggests the potential prioritization of gut use for survival over reproduction. The maximum gonadosomatic index of female was 5.01 ± 2.10% (at 24 °C) in July while the maximum value of male was observed in July (4.02 ± 0.57%). There was no correlation found between gonadosomatic indices and temperature or photoperiod (r= -0.123- 0.177, p > 0.05). Gender differences were observed in gonadosomatic index and perivisceral index (p < 0.05), but not in gut index, Aristotle’s lantern index, or test index. Biochemical analysis indicated higher protein levels preceding the primary egg-laying period in spring, while glycogen and lipids were utilized before other periods of egg laying throughout the year. Understanding the annual reproductive cycle and nutritional dynamics of P. lividus offers valuable insights for effective reproduction management, opening increasing opportunities for aquaculture globally in the foreseeable future.
???displayArticle.pubmedLink??? 41634823
???displayArticle.pmcLink??? PMC12892755
???displayArticle.link??? BMC Zool
???attribute.lit??? ???displayArticles.show???